インプラント
歯を失った方がもう一度噛めるようになるインプラント
インプラントについて
虫歯や歯周病、歯の破折などで歯を失った場合に、歯の代わりに骨の中に埋入するチタン製の土台(支柱)です。

インプラントの材質であるチタンは、骨折の治療時に使用するプレートや人工関節としても使われており、アレルギーがほとんど無くきわめて生体親和性の高い材料です。
従来では、入れ歯やブリッジによる治療が主流でしたが、インプラント・システムの進歩により、機能的にも審美的にも従来の治療法よりも優れた予後が実現できるようになりました。
入れ歯やブリッジでは、歯茎が痛んだり、よく噛めない、外れやすい、残っている歯に負担がかかる、審美性が悪いなどの不具合がありましたが、インプラントではこれらの欠点が改善され、ご自身の歯のように食べたり笑ったりすることができます。
現在、歯を失った方の治療法において、最も有力な選択肢でしょう。
当院ではストローマン社製のインプラントを使用しています

世界で信頼されるブランド
ストローマンインプラントの高い品質と信頼性は、長期治療成績によって裏付けられています。
当院ではストローマン社製のインプラント使用し、患者さんのQOL向上の一助となるよう努めます。
・ストローマンは精密機械産業が盛んなスイスのバーゼルに本社があり、現在では世界70か国以上に歯科用インプラント関連製品を提供しているグローバル企業です。
・50年にわたる研究開発と充実した検査体制のもと、グローバルで活動する非営利学術組織とのパートナーシップにより、学術的に裏付けのある製品を提供しています。
・ストローマンインプラントは、埋入後の5年、10年という長期にわたる安定性が多くの研究により報告されています。
・世界で500万人以上の患者さんがストローマンインプラントによる治療を受け、患者さんのQOL向上に貢献しています。
・ストローマン社は、世界のインプラント市場でナンバー1のシェアを持つインプラントメーカーです。
インプラントの
メリット・デメリット

ほとんどの治療には、メリットとデメリットがあります。
インプラントは非常に優れた治療法ですが、一方でデメリットも存在します。
以下に、失った歯の本数別に、従来の治療法と、メリット・デメリットについて比較してみます。
歯を1本失ってしまった場合

従来の治療法:ブリッジ

失った歯の両隣の歯を削って、1本の歯の代わりとなるブリッジを使用します。
| メリット | ◆ 短い治療期間となる |
|---|---|
| デメリット | ◆ 両隣の健康な歯を削る必要がある ◆ 削られた歯への負担が増加する ◆ 歯を失った部分の骨がやせていく |
インプラント

インプラントとセラミック人工歯を使って、両隣の歯を削らずに治療ができます。
| メリット | ◆ メンテナンスをきちんと行なえば、長期間にわたって、機能と見栄えを維持することができる ◆ 天然歯に近い見栄え ◆ 健康な歯を削る必要がなく、周りの歯に負担がかからない ◆ あごの骨が、やせほそるのを防ぐことができる ◆ 自然に噛むことができ、おいしく食べられる ◆ 口元を気にせず、自然に話すことができる |
|---|---|
| デメリット | ◆ 健康保険が適用されない治療となる ◆ 簡単な手術が必要 |
歯を数本失ってしまった場合

従来の治療法:部分入れ歯

部分入れ歯は、金属などのバネを健康な歯にかけて使用します。
| メリット | ◆ 短い治療期間となる |
|---|---|
| デメリット | ◆ バネなどが見えて、見た目があまりよくない ◆ バネが健康な歯を傷つける恐れがあります ◆ 違和感を感じることがある ◆ 歯を失った部分の骨がやせていく |
インプラント

インプラントは、天然歯と同じような安定性、機能性、見栄えを備えています。
| メリット | ◆ メンテナンスをきちんと行なえば、長期間にわたって、機能と見栄えを維持することができる ◆ 天然歯に近い見栄え ◆ 健康な歯を削る必要がなく、周りの歯に負担がかからない ◆ あごの骨が、やせほそるのを防ぐことができる ◆ 自然に噛むことができ、おいしく食べられる ◆ 口元を気にせず、自然に話すことができる ◆ 入れ歯と異なりしっかりと固定され、ずれなどによる不快感を解消する |
|---|---|
| デメリット | ◆ 健康保険が適用されない治療となる ◆ 比較的簡単な手術が必要 |
歯を全て失ってしまった場合

従来の治療法:総入れ歯

個人に合わせた総入れ歯を、歯茎全体にかぶせます。また、上あごの場合は、口蓋も覆います。
| メリット | ◆ 短い治療期間となる br> |
|---|---|
| デメリット | ◆ 入れ歯の安定が悪いとずれやすくなる ◆ 硬い物を噛むと、入れ歯が歯茎を圧迫し、痛みを感じることがある ◆ 味覚に影響する場合がある ◆ 入れ歯と歯茎の間に食べた物がはさまる場合がある ◆ あご全体の骨がやせることがある |
インプラント

インプラントを用いた入れ歯は安定感があり、お掃除のために自分自身で取り外すことも可能です。
| メリット | ◆ メンテナンスをきちんと行なえば、長期間にわたって、機能と見栄えを維持することができる ◆ 天然歯に近い見栄え ◆ 健康な歯を削る必要がなく、周りの歯に負担がかからない ◆ あごの骨が、やせほそるのを防ぐことができる ◆ 自然に噛むことができ、おいしく食べられる ◆ 口元を気にせず、自然に話すことができる ◆ 入れ歯と異なりしっかりと固定され、ずれなどによる不快感を解消する |
|---|---|
| デメリット | ◆ 健康保険が適用されない治療となる ◆ やや複雑な手術が必要 |
インプラントはどれくらい持つの?
インプラントの寿命ですが、現在主流であるチタン・インプラントが世に出てから、最長で40年以上の実績があります。
しかしながら、インプラントの寿命は、実にさまざまな要因により異なるのが事実です。
骨が太くて硬く、免疫力が高い人であれば、長寿命であることは誰の目にも明らかです。
ところが、実際には人によって骨幅や骨長、骨密度、免疫力、口腔清掃の程度や咬合力は異なります。
ですから、一概にどれくらい持つとは断言できないのが正しい理解であると考えます。
長く持つであろう条件
・骨の質と量が良好である
・口腔清掃が良好である
・歯ぎしりや食いしばりなどのブラキシズムが無い
・咬合力が強くない
・噛み合わせのバランスが良い
・骨粗しょう症薬や免疫抑制剤を飲んでいない
・歯周病がない。またはきちんと管理している
・糖尿病や肝臓病、腎臓病などの易感染性疾患を患っていない
などです。口腔内と全身の健康状態が良いほど、長く持つといえるでしょう。
インプラントの治療期間
すでに抜歯してあるのか、これから抜歯をするのかによって治療期間は変わります。
骨がしっかりと治癒している状態であれば、下顎で2~3か月、上顎で3~4か月程度でしょう。
また、骨の幅や高さが少ない場合には、再生治療により骨を造る必要があります。
この場合、骨の状態にもよりますが、6か月~1年程度の治療期間を要することがあります。
詳しくはCT撮影にて診査致しますので、お申し出ください。
インプラントの手術後の腫れ、痛み
インプラント単独の手術であれば、腫れや痛みはそれほど出ません。
ただし、骨のボリュームが少なく、再生治療で骨造成をした場合には、1週間程度腫れと痛み、内出血を生じることがあります。これは生体の正常な反応ですので心配はありません。術後に抗生物質と痛み止め、状況に応じて腫れ止めや止血剤を処方しますので、服用していただけば大丈夫です。ご安心ください。
骨が少なく他院で断られた方へ
インプラントを希望される方でも、難易度が高い場合には治療をお断りされることがあります。当院では、高い技術力により、他院でお断りされた難しい症例でも対応しています。GBRやソケットリフト、サイナスリフトなどの骨造成にも対応していますので、是非、一度ご相談ください。
安いインプラント治療について
インプラント治療といっても、実に様々なタイプ、種類のインプラントが存在しています。車でも、軽自動車もあれば、カローラやベンツもあるという具合です。価格勝負であれば軽自動車が有利ですが、機能性・安全性ではベンツに軍配が上がるでしょう。
インプラントにおいても、これと同じようなことが言えます。安いインプラント治療は、安い材料を使っているのが現実です。高い材料を使えば、その分治療費に跳ね返るのは必然と言えます。
当院では、Patient Firstの診療理念に基づき、生体に入れるものは安全性が最重要であると考えています。このため、世界で最も信頼性の高いノーベルバイオケア社およびストローマン社のインプラントを導入しています。
健康は何にも代えることは出来ません。当院では、安全な環境で、安全な材料を用い、安全な手術を行うことをお約束致します。
インプラント治療の流れ
1.診査と治療計画
・患者さんの全身状態の問診と口腔内の状態の診査を行います。
・あごの骨の量と質を記録するため、口の中の型を取り、レントゲン・CT撮影を行います。
・これらのデータを用いて、一人ひとりの患者さんに適した治療計画を立案します。
2.インプラント体の埋入と治癒

・局部麻酔をかけて、インプラント体を埋め込みます。
・インプラント体と骨が結合するまで、期間をおきます。
・治癒期間は、インプラント体の種類、骨の健康状態、体調によって異なります。
3.アバットメント(支台)の装着

・インプラント部分の精密な型取りを行います。
・患者さんに適したアバットメントのデザインを選択し、装着します。
4.人工歯の装着

・アバットメントに適合し、患者さんの歯の形と色に合わせた人工歯を作ります。
・口腔内にぴったりと合うことを確認し、インプラント体の上に取り付けます。
5.治療後の歯磨きと定期検診
・天然歯と同様に、よくお手入れしてください。
・毎食後、そして、就寝前に、丁寧に歯磨きをしてください。
・歯ブラシは柔らかいものを使用し、定期的に交換してください。
・歯科医師による定期的なメンテナンスを受けてください。
インプラント治療例
① インプラント
| 治療前 | 治療後 |
|---|---|
|
|
主訴 |
インプラントを入れたい |
|---|---|
治療期間 |
8か月 |
治療費 |
インプラント1本¥200,000×3 チタンアバットメント¥50,000×3 メタルセラミックス¥100,000×3 合計¥1,050,000(税別) |
治療内容について |
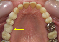
矢印の歯の虫歯が深く、保存が困難でしたので、抜歯となったケースです。 抜歯をしてから骨と歯肉が十分に治癒するまで5か月ほど待って、インプラントを埋入しました。 インプラント治療をするにあたっては、口腔内の清掃の徹底と、歯周病の基本治療をきちんと済ませることが、インプラントを長持ちさせるためにとても重要となります。 |
② インプラント
| 治療前 | 治療後 | 治療後 |
|---|---|---|
|
|
|
主訴 |
歯が無いところにインプラントを入れたい |
|---|---|
治療期間 |
3か月 |
治療費 |
インプラント¥200,000 チタンアバットメント¥50,000 メタルセラミックス¥100,000 合計¥350,000(税別) |
治療内容について |
歯根が破折したために、他院で抜歯をされた患者さんです。 このような場合、治療法の選択として、 ①入れ歯 ②ブリッジ ③インプラント の3種類があります。 それぞれの長所と欠点を十分にご説明させていただき、治療計画を立てます。 インプラントの最大の長所は、隣の歯にダメージを与えないところにあります。 この患者さんのケースは、他院で抜歯をしてから十分に期間が経っており、骨も歯肉も完全に治癒していたため、3か月という短期間で治療が終了しました。 |
③ インプラント
| 治療前 | 治療後 |
|---|---|
|
|
主訴 |
歯が無いところにインプラントを入れたい |
|---|---|
治療期間 |
5か月 |
治療費 |
インプラント¥200,000 チタンアバットメント¥50,000 メタルセラミックス¥100,000 合計¥350,000(税別) |
治療内容について |
PMTCは、単にステイン(着色汚れ)を取り除くだけではありません。歯の表面に付着したバイオフィルム(細菌の塊)を破壊・除去することを目的としています。 バイオフィルムは、虫歯や歯周病の原因となるだけでなく、菌血症の主な原因となり、全身の組織や臓器に悪影響を及ぼします。 これらを予防するために、当院では3~4か月ごとのPMTCをお勧めしています。 |
④ インプラント
| 治療前 | 治療後 |
|---|---|
|
|
主訴 |
歯ぐらついて噛めない、痛い |
|---|---|
治療期間 |
10か月 |
治療費 |
インプラント¥200,000×10本 チタンアバットメント¥50,000×10本 メタルセラミックス¥100,000×10本 合計¥3,500,000(税別) |
治療内容について |
歯周病によって、歯がぐらついて噛めなくなった患者さんです。 保存が難しかった歯を5本抜歯し、インプラントの治療計画を立てました。 全体的に歯周病が見られることから、歯周病体質であると考えられます。 このようなケースでは、徹底した歯周病治療と正しい食習慣への改善が必要です。 また、歯周病で歯を失った方は、インプラントを長持ちさせるために、定期的なメンテナンスを受けることがとても重要です。 治療後は、何でもしっかりと噛めるようになり、患者さんはとても喜んでくださいました。 |
④ インプラント

| 治療前 | 治療後 | 治療後 |
|---|---|---|
|
|
|
主訴 |
虫歯を治したい。歯と銀歯を白くしたい。歯のないところにインプラントを入れたい |
|---|---|
治療期間 |
6か月 |
治療費 |
下顎のみ インプラント¥200,000×3本 チタンアバットメント¥50,000×3本 メタルセラミックス¥100,000×14本 合計¥2,150,000(税別) |
治療内容について |
全額的な治療を希望されて来院された患者さんです。 奥歯を失ったことによって噛み合わせが低くなり、前歯が強く噛み合うようになって歯が咬耗したり、差し歯の脱落を繰り返していました。 このような咬合崩壊例では、噛み合わせの支えとなる奥歯をしっかりと入れることが何よりも重要となります。前歯は、奥歯の支えがあることで長持ちするのです。 |
⑥ インプラント
| 治療前 | 治療後 |
|---|---|
|
|
主訴 |
歯のないところにインプラントを入れたい |
|---|---|
治療期間 |
4か月 |
治療費 |
インプラント¥200,000×1本 チタンアバットメント¥50,000×1本 メタルセラミックス¥100,000×1本 合計¥350,000(税別) |
治療内容について |
虫歯のために、すでに抜歯をされた患者様です。歯肉も骨も十分に治癒していましたので、歯周病の基本治療を行った上でインプラント手術を行いました。 両隣の歯は、虫歯のないきれいな歯でしたので、歯をたくさん削るブリッジではなく、インプラント治療を選択されました。歯は、治療したところからダメになることが多いので、このようなケースではインプラントの良さが最大限に発揮されます。 費用的にも、ブリッジでメタルセラミックスを入れると¥100,000×3本となり、あまり変わらなくなってしまいます。3本分のメンテナンスや破損のリスクも考える必要があります。治療法の選択に当たっては、やはり総合的に考えることが得策です。 |
⑦ インプラント
| 治療前 | 治療後 |
|---|---|
|
|
主訴 |
奥歯にインプラントを入れたい |
|---|---|
治療期間 |
4か月 |
治療費 |
インプラント¥200,000×1本 ソケットリフト¥30,000×1本 チタンアバットメント¥50,000×1本 メタルセラミックス¥100,000×1本 合計¥380,000(税別) |
治療内容について |
上顎の奥歯の部分は、上顎洞という空洞があるため、骨の厚みが薄い場合がほとんどです。 そのような場合には、上顎洞の中に骨を作るとこで、インプラントを入れることができる骨の厚みを確保します。ソケットリフトは、インプラントを埋入する穴から人工骨を補填する方法で、短時間で簡便に骨の厚みを増やす方法です。ただし、増やせる骨の厚みは3~5mm程度と少ないので、極端に厚みの薄い方はサイナスリフト(上顎洞挙上術)の適応となります。 当院では、サイナスリフトにも対応しておりますので、他院でお断りされた方もぜひご相談ください。 |
⑧ インプラント
| 治療前 | 治療後 |
|---|---|
|
|
主訴 |
前歯にインプラントを入れたい |
|---|---|
治療期間 |
8か月 |
治療費 |
インプラント¥200,000×1本 GBR¥120,000×1本 チタンアバットメント¥50,000×1本 メタルセラミックス¥100,000×1本 合計¥470,000(税別) |
治療内容について |
上顎前歯部は、人の目に触れる部分なので、高い審美性が求められます。しかも、日本人は歯肉や骨の厚みがかなり薄く、歯を抜くと歯肉も骨も委縮してボリュームがなくなります。これが前歯部のインプラント治療を難しくしています。 当院では、再生療法により骨を作るGBRや、歯肉のボリュームを再生させるために歯肉移植にも対応しています。審美的なインプラント治療をご希望方は、ぜひご相談ください。 |
よくある質問
Q:インプラントの手術に痛みはありますか?
歯科医師は、手術中できるだけ痛みがないよう、局部麻酔をします。
広い範囲に数多くのインプラントを入れる場合や、特殊な手術の場合に、痛みを軽減する様々な療法を行うこともあります。詳しくは、担当医にご相談ください。
Q:インプラントをしていることは他人に気づかれますか?
いいえ。インプラントの人工歯は、天然歯の形、大きさ、色に合わせて作られます。
Q:インプラントは何本くらい入れればいいのですか?
抜けた歯1本に対して必ずしも1本のインプラントを入れる必要はありません。
あごの骨の質と量によっては入れることができない場合もあります。
Q:インプラントの治療を受けるための年齢制限はありますか?
インプラント治療は、骨の成長が終わってから行われます。通常、骨の成長は18~20歳ごろに完了しますが、個人差があります。なお、インプラント治療を受ける年齢の上限はありません。
Q:糖尿病などの慢性疾患があってもインプラント治療を受けられますか?
糖尿病などの慢性疾患がある方は、医師の指導のもとに十分にコントロールされていれば大丈夫ですが、状態によってはインプラント治療ができない場合があります。詳しい病状を伝え、担当医とご相談ください。
一部内容をストローマン・ジャパンホームページ(http://www.straumann.jp/ja/home.html)より引用しました。
治療費
※すべて税込価格となっております。
インプラント(1本) |
インプラントを骨の中に埋め込む手術です。処置やレントゲン撮影、お薬などの費用をすべて含みます。 |
¥242,000 |
|---|---|---|
アバットメント(ジルコニア) |
インプラントの上部に取り付ける、ジルコニア製の土台です。白い材質なので、オールセラミックと組み合わせることで、透明感のある自然な歯に仕上がります。前歯部に向いています。 |
¥88,000 |
アバットメント(チタン) |
インプラントの上部に取り付ける、チタン製の土台です。強度があるので、強い咬合力がかかる臼歯部への応用に向いています。 |
¥66,000 |
プロビジョナル(スクリュー固定の仮歯) |
インプラント用のプラスチックの仮歯です。これを用いて審美性の回復や噛み合わせの調整を行います。 |
¥33,000 |
ソケットリフト |
上顎臼歯部(奥歯)の骨の厚みが薄い場合に行います。インプラントを入れるホールから人工骨を填入し、上顎洞の中に骨を作る簡便な治療法です。 |
¥55,000 |
GBR(骨再生誘導療法) |
骨が不足している場合に行う再生治療です。骨の厚みや高さを再生させます。 |
¥132,000~ |
サイナスリフト(片側) |
上顎臼歯部(奥歯)の骨が薄く、そのままではインプラントが埋入できない場合に適応します。上顎洞の中に骨を作り、骨の深さを増す処置です。 |
¥242,000 |
無切開ガイド手術(ガイデッドサージェリー) |
歯茎を切開せずに行うインプラント手術です。切開しないため、術後の腫れや痛みが少ないのが特徴です。骨が十分にあることが条件です。 |
¥110,000~ |
歯肉移植(FGG,CTG) |
歯肉のボリュームが少ない場合や歯肉が脆弱な場合に行う、歯肉の移植手術です。高い審美性の獲得や清掃性の向上、インプラントの長期安定に効果があります。 |
¥55,000 |
ソケットプリザベーション |
抜歯と同時に、抜歯窩に人工骨を補填する処置です。骨と歯肉のボリュームを維持し、骨造成を避けたり、治療期間の短縮や審美性の獲得を期待できます。 |
¥55,000 |
※毎日のブラッシングや、定期的な検診を怠るとインプラント歯周炎などの恐れがあります。
-
Tooth de
虫歯治療
進行レベルごとの
適確な治療虫歯
-
Perio
歯周病治療
大切な歯を
抜かずに残す治療歯周病
-
Cleaning
予防歯科
細やかな
ブラッシング指導予防歯科
-
Denture
義歯
毎日の食事を
楽しく美味しく義歯
-
Orthodontic
矯正歯科
見た目もキレイに
健康な歯へ矯正歯科
-
Gallery
審美歯科
患者様の納得いく
仕上がりに審美歯科
-
Wisdom Tooth
親知らず
痛みに配慮した
親知らずの抜歯親知らず
-
End
精密根管治療
自分の歯を
抜かずに残す精密根管治療
-
Implant
インプラント
自然な噛み心地を
体感できるインプラント
























