虫歯治療を受けた後に、歯が強くしみたり、痛みや咬合痛、歯茎の腫れを生じることがあります。
視診で歯の神経(歯髄)まで虫歯が到達していない場合でも、不顕性露髄(ふけんせいろずい)や虫歯治療の刺激で歯髄炎(しずいえん)が生じることがあります。
不顕性露髄とは、一見虫歯が歯の神経に到達していないように見えるものの、感染歯質が歯髄にまで達しており、歯髄の細菌感染が生じている状態を指します。
歯髄炎は徐々に進行し、やがては歯の神経が死んでしまいます。これを歯髄壊死(しずいえし)と呼びます。
患者さんは、虫歯治療をした歯が痛むということは理解できないかもしれません。
しかしながら、実際の臨床では虫歯治療後に痛みを生じることはしばしば遭遇します。
これは、歯髄をなるべく温存したい、神経を取りたくないという歯科医師や患者さんの思いによるものです。
例え、もともと痛みや症状のない虫歯であったとしても、深い虫歯の治療後には、歯髄炎を惹起する可能性は常に存在するのです。
これは、例えMTAセメントなどを使ったとしても、避けることは出来ません。
したがって、当院では術前に虫歯が深いと判断したら、根管治療が必要になる可能性を予め説明するように努めています。
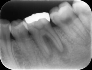
初診時。下顎左側第一大臼歯の痛みと歯茎の腫れを主訴に来院。歯には咬合痛と動揺も存在する。歯には大きな銀歯が詰めてある。
初診時レントゲン。虫歯治療で大きな詰め物が装着してあり、深い虫歯があったことがうかがえる。歯根の周りは骨吸収が起こり、歯髄壊死から継発した根尖病巣を生じている。根管治療が必要な状態。
根管治療中。ファイルを根管に挿入し長さと方向を確認。
根管治療後レントゲン。根管内を完全に清掃拡大・洗浄し、痛みや歯茎の腫れが消失したことを確認後、根管充填を行った。歯根の先端まで薬がしっかりと詰まっていることが分かる。
治療後。根管治療後、オールセラミッククラウンにて歯冠補綴を行った。痛みと歯茎の腫れは完全に消失し、しっかりと噛めるようになった。審美性も非常に良い。
虫歯が大きく、深くなってしまうと、例え痛みが無くても歯髄炎や歯髄壊死を生じるリスクが高まります。
このようなことにならないためには、定期的な検診により、早期発見と早期治療が重要です。
しかしながら、もっとも重要なことは、虫歯にならないように常日頃からセルフケアをしっかりと行うことです。
甘い飲食物が氾濫している現代では、歯ブラシだけでは虫歯や歯周病は予防は出来ません。
必ずデンタルフロス(糸ようじ)を併用することをおすすめします。
治療期間:2か月
治療費:精密根管治療¥77,000
ファイバーコア¥22,000
オールセラミッククラウン¥110,000
治療上のリスク:根管治療の成功率(治癒率)は100%ではありません。根管治療中は一時的に痛みや歯茎の腫れを生じることがあります。







