差し歯とは、神経を取った歯に被せ物を入れた被せ物のことを指します。
差し歯に限らず、歯茎は年齢とともに少なからず退縮を起こします。
特に歯茎の厚みが薄いヒトは退縮を起こしやすく、治療後早期に差し歯の縁が露出して見え、ブラックマージンを呈します。
このブラックマージンは、為害性は無いものの、上顎前歯のような人目に付きやすい部位では、しばしば審美的に問題になります。
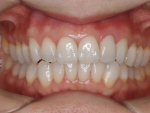
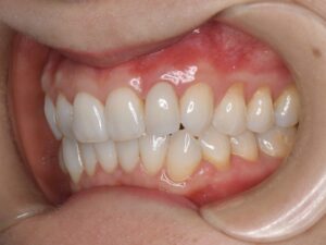
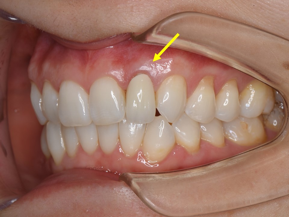
初診時口腔内。左側側切歯(⇒)のブラックマージンを主訴に来院。セラミッククラウンの色も透明感が無く、審美的な改善を希望。
装着してあるセラミッククラウンが不適合のため、歯茎に炎症を認める。
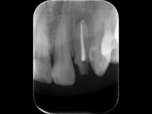
初診時レントゲン。根管充填がプアなため、根尖病巣を生じている。まずは再根管治療が必要と判断。たとえ高価な被せ物を被せても、根管治療に問題があると、いずれ再治療を行うか、いずれ抜歯になることに注意が必要。
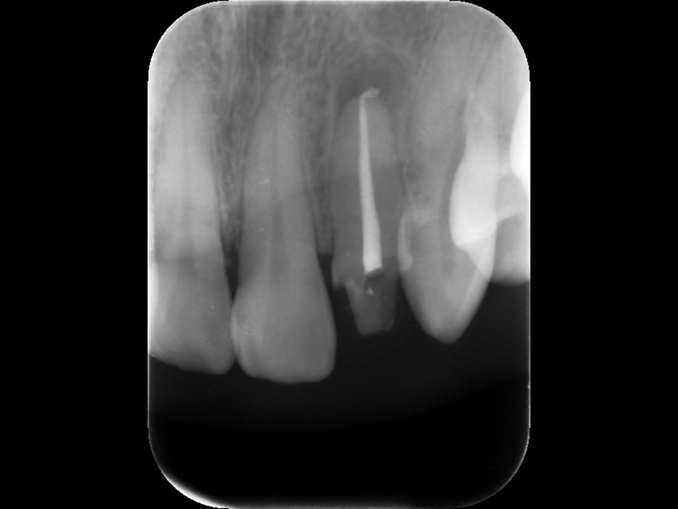
再根管治療後レントゲン。バイオセラミックとガッタパーチャによる根管充填を行った。根尖部まで緊密に薬が入っているのが分かる。このようにしっかりと根管治療を行うことで、安心して歯を被せることが出来る。
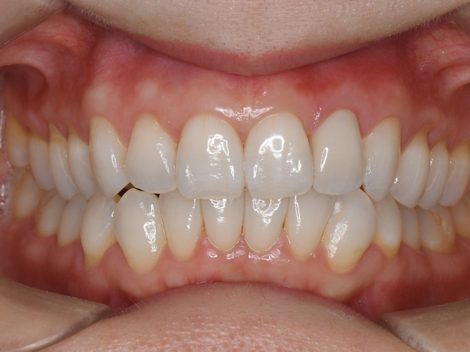
ジルコニアオールセラミッククラウンによる再補綴を行った。当然ながら、歯肉圧排(2重圧排)とシリコン印象による精密印象を行っている。
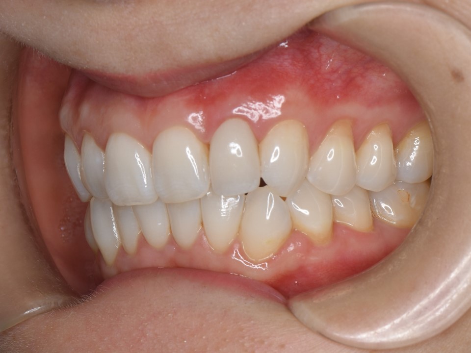
歯の色合い、歯茎の反応も良く、自然な感じで仕上がっている。
歯の治療は、一つ一つの手技を妥協無く行ってはじめて長期的に安定した予後が約束されます。
特に、根管治療の良否は患者さんに分かり難い部分なので、術前術後のレントゲンによる説明、確認は必ず受けるようにしましょう。
治療費:精密根管治療 ¥110,000/前歯
ファイバーコア ¥22,000
ジルコニアオールセラミッククラウン ¥132,000
(治療当時)
治療期間;1カ月
治療上のリスク;セラミックは硬いものを噛むと欠けることがあります。








