歯性上顎洞炎は、上顎臼歯(奥歯)に慢性の炎症が原因で生じる副鼻腔炎です。
原因として多いのは
①慢性根尖性歯周炎(根尖病巣)
②歯根破折
③慢性辺縁性歯周炎(歯周病)
の3つです。
これらの問題が無く、歯根の周りに炎症による骨吸収を認めない場合、それは鼻性の上顎洞炎ということになります。
耳鼻科では、片側性の上顎洞炎があると、歯性上顎洞炎という診断を受けることがありますが、それは正しくありません。
鼻性の上顎洞炎であっても、片側性に生じるものがあるのです。
耳鼻科で行うCT撮影は範囲が広いため、歯と上顎洞炎との関連性を見極めるのは不十分で、正確に診断を行うためには歯科でのCT撮影が必須です。
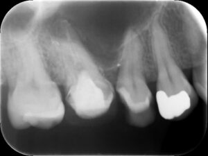
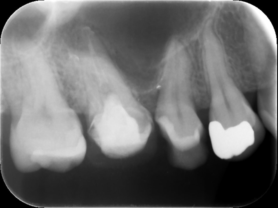
右側上顎第一大臼歯の初診時レントゲン。他院にて根管治療を行っているが良くならず、歯がひびく、黄色い鼻水が続いているとのこと。耳鼻科にて歯性上顎洞炎の診断を受ける。
初診時CT画像。上顎洞に当該歯の部位に一致するX線不透過性の亢進を認める。繰り返し根管治療を行ったためか、根尖部は破壊されて太く開いている。また、湾曲した根管を何度も治療を行ったため、根尖部のパーフォレーションを認めた。
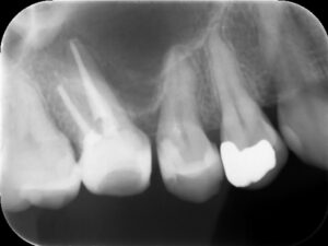
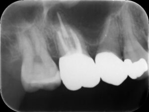
根管充填後レントゲン。症状が軽快したのでバイオセラミックシーラーとガッタパーチャにて根管充填を行った。根尖までしっかりと薬が入っているのが分かる。
同CT画像。上顎洞のX線不透過部は消失し、上顎洞炎が治癒しているのが分かる。
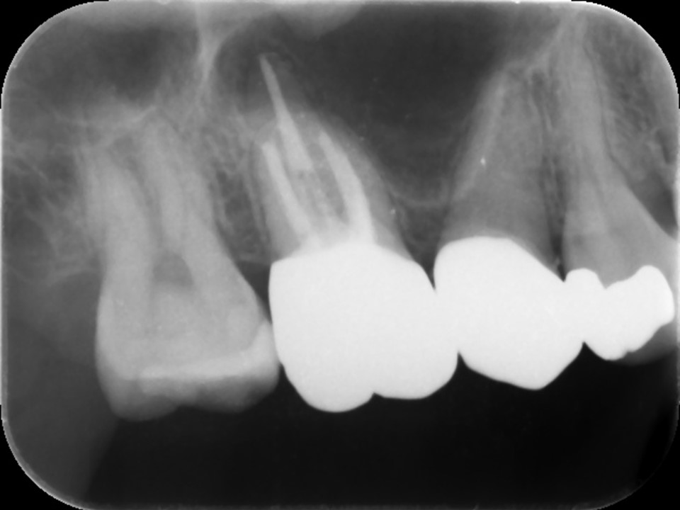
治療後レントゲン。初診時の症状は完全に消失し治癒した。被せ物の適合は根管治療の予後に影響するので、しっかりとフィットする被せ物を装着することが重要。
上顎大臼歯部の根尖病巣は、歯性上顎洞炎を生じる危険が極めて高いです。
かなりトレーニングされた歯科医師でなければ、上顎大臼歯の根管治療を完全に行うことは難しいでしょう。
特に再根管治療は難易度が高いため、はじめから自費での精密根管治療をお受けになることをお勧めします。
治療費:精密根管治療/¥99,000/大臼歯
ファイバーコア/¥22,000
オールセラミッククラウン/¥132,000
(治療当時)
治療期間:3カ月
治療上のリスク:根管治療の成功率は100%ではありません。耳鼻科との連携診療が必要な場合があります。







