根尖病巣(こんせんびょうそう)とは、歯の歯根の先端部分に炎症が起こった状態を指します。
もともと、歯や歯根の中には歯髄(しずい)と呼ばれる歯の神経が存在し、これが歯の知覚と栄養供給を司どっています。
しかし、虫歯が大きくなり歯の神経を取ったり、大きな虫歯の影響で歯髄が壊死(えし:死んでしまうこと)してしまうと、歯の内部に入りこんだバクテリアやバクテリアが産生する毒素により、歯根の先端部分の骨を溶かし、やがて痛みや歯茎の腫れを生じるようになります。
特に、歯の神経を治療する根管治療は、歯科治療の中でも治療の頻度が高いものの、治療の難易度は極めて高く、その割に健康保険の評価が低いためにきちんとした治療が行われることは残念ながらほとんどありません。
根尖病巣は、この根管治療の不具合が原因で生じる場合が多いのです。
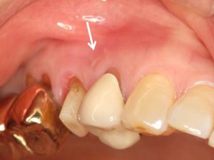
根尖病巣が原因の歯茎の腫れ。根管治療が正しくされていないために歯の中でバクテリアが繁殖し、歯槽骨を溶かして歯茎が腫れてくる。
根管治療後、ファイバーコアで支台築造を行った。根管治療を正しく行うことで根尖病巣は治癒へと向かい、歯茎の腫れも消失する。
セラミッククラウンによる補綴後。歯茎の腫れは完全に消失しているのが分かる
根管治療は、建築で例えるならば基礎工事にあたる部分です。
基礎工事をしっかり施工していないマンションは、いずれ傾いてダメになるのと同様に、歯も内部の根管治療をしっかりしなければ、やがて中から歯が腐敗しダメになります。
仮に根管治療に不具合があっても、すぐに歯茎の腫れや痛み、骨の吸収などの症状が出ることはありません。
数か月~数年経ってから歯槽骨が溶けて歯茎の腫れを生じるようになります。
根尖病巣は、じつは歯や歯周組織の病気だけに留まりません。
そこから発生したバクテリアやバクテリアが産生した毒素は毛細血管に入り、全身へと運ばれて行きます。
そして、他の臓器や組織に病気を生じる歯性病巣感染の原因になっているのです。
根管治療は、最初の治療がとても重要で、再治療になるほどその成功率は下がることが分かっています。
また、何度も根管治療をやり直すことは、歯にかなりの負担を強いるためにできません。
したがって、根管治療をお受けの際には特に歯科医院選びが重要といえるでしょう。



による歯茎の腫れ~歯の寿命を左右する根管治療~1-300x225.jpg)
による歯茎の腫れ~歯の寿命を左右する根管治療~2-300x225.jpg)
による歯茎の腫れ~歯の寿命を左右する根管治療~3-300x225.jpg)