根管治療をされている方で、根管治療が痛い、治療がなかなか終わらないと訴える方は非常に多いです。
根管治療が痛いのは、根管治療の際に麻酔をしっかりしないことが挙げられます。
多くの歯科医師は、2回目以降の根管治療の際に麻酔をしません。
仮に、一回目の根管治療で歯髄(歯の神経)を完全に取り除けていたとしても、細い根管の中に器具を挿入するだけで歯根外に圧力が加わります。
また、根管治療時に生じた削りカスによる目詰まりを防止するため、ファイルと呼ばれる治療器具が歯根外に意図的に少し出します。
歯根外は、歯根膜や歯槽骨といった歯以外の組織で、それらの組織の中には神経が通っているため、歯根外に圧力やファイルの刺激が加わることで痛みを生じるのです。
したがって、根管治療における痛みのコントロールを行うためには必ず麻酔が必要です。
しかしながら、保険診療では仮に麻酔をしても保険算定ができず(つまり無料)、麻酔を行う時間もかかるため、麻酔をせずに根管治療を行うことが一般的になっています。
ここで注意しなければいけないのは、繰り返し根管治療で痛み刺激を与えると、痛みに対する閾値が下がるのか、痛みが引きにくくなります。
また、根管治療を半年とか1年とか長期で受けている方がしばしばいます。
根管治療は、やればやるほど歯周組織を刺激し、歯は削られて薄くなって強度が無くなり、細菌感染のリスクが高まります。
基本的に、根管治療は短期決戦であるべきで、その方が予後が良いです。
真面目な患者さんほど、きっとこう思うはずです。「痛いからきちんと通い続けないと・・・」
それは実は大きな誤解であり、見切りをつけてセカンドオピニオンを受けるべきでしょう。
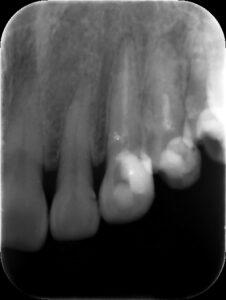
初診時レントゲン。他院で1年以上かけて根管治療を行っているが痛みや歯茎の腫れが引かずに来院。元々は歯髄が生きていた生活歯の抜髄を行ったケース(イニシャルトリート)。同時に3本もの歯を抜髄して長期に根管治療を行う診断に問題があると言わざるを得ない。患者さんは心身ともに疲弊し、歯科治療への不信が高まってしまうのも無理はない。まずは、現状の説明と解決策を提示し、歯科治療への不安を取り除くところから治療が始める。
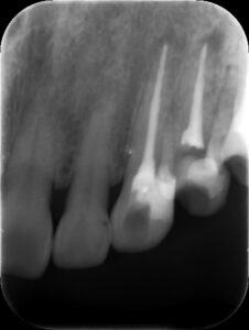
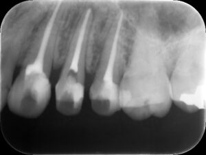
根管充填後レントゲン。歯の痛みや歯茎の腫れが改善したため、バイオセラミックシーラーおよびガッタパーチャにて根管充填を行った。根管治療は2回、2週間で終了。
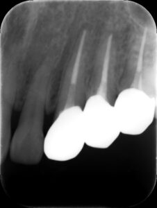
治療後レントゲン。適切な補綴(被せ物)により治療を終了。的確な診断および治療を行うことで、長年の悩みから解放された。我々は、無暗に患者さんの大切な人生の時間を奪ってはいけない。
根管治療はきちんと出来ていて画像診断でも問題が無いにもかかわらず、長期に痛みを訴える方が時々います。
このような場合には、非歯原性歯痛や三叉神経痛を疑う必要があり、薬物治療の対象になる可能性を視野に入れ、適切な医療機関への紹介が妥当です。
もし仮に正しくきちんと根管治療を行っても予後が悪いようであれば、それはもう根管治療の適応ではなく、外科的歯内療法(歯根端切除)や意図的再植、或いは抜歯の適応なのです。
治療費:精密根管治療/¥77,000/前歯、¥88,000/小臼歯
治療期間:2週間
治療上のリスク:根管治療の成功率は100%ではありません。








