根管治療では、ファイルやリーマーと呼ばれる針状の非常に細い器具で根管の中を清掃・拡大します。
歯の神経の入った根管は非常に細く、また湾曲していることが多いため、稀にファイルやリーマーが金属疲労で破折してしまうことがあります。
もちろん、治療はとても慎重に行いますが、それでも破折を起こすことがあります。
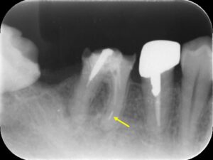
初診時レントゲン。右側下顎第一大臼歯の被せ物(クラウン)は外れており、虫歯と根尖病巣を認める。近心根にはファイル破折片を認める(矢印)。根尖病巣を認めるため、可能であれば破折ファイルを取り除きたいケース。
根管治療中。古い根管充填剤(白く写っている薬)と取り除き、近心根にあったファイル破折片を超音波にて除去した。これで根管の先端まで完全に清掃・消毒することが出来る。
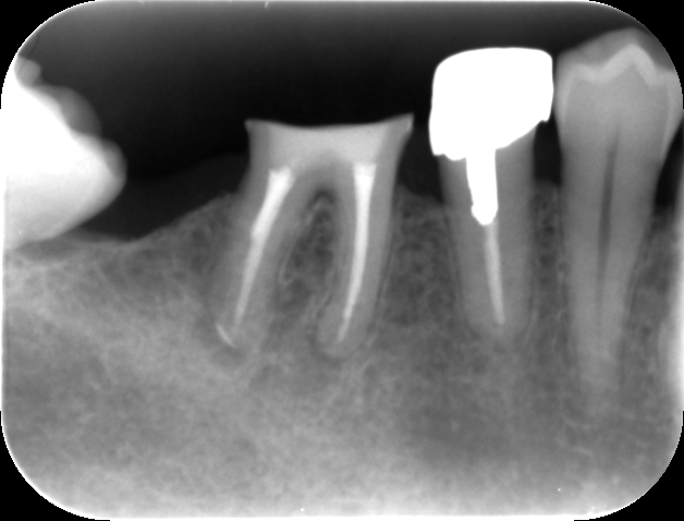
根管充填後。症状緩解後、バイオセラミックシーラーとガッタパーチャポイントによる根管充填を行った。歯根の先端までしっかりと根管充填されているのが分かる。
根管にきつく食い込んだファイルや、湾曲した根管で破折しているファイルは取り除くことが出来ない場合が多いです。
無理に取り除こうとすると、新たにファイルを折り込んだり、本来の根管と違うところに穿孔(パーフォレーション)を起こすリスクが高いです。
根尖病巣が無く、根管内に残っているファイルが感染源になっていないと判断されるものは、必ずしも取り除く必要はありません。
あくまでも、歯の寿命を考慮した診断と治療計画が重要となるのです。





