〒103-0022 東京都中央区日本橋室町4-3-12 バンセイ室町ビル2F
【診療時間】月〜金 10:00-14:00/15:00-18:30
      土 10:00-13:00/14:00-17:00
【休診日】日曜・祝日

お電話でのご予約は


※お急ぎの方はお電話ください。

  • TOP >  
  • ブログ > 
  • コラム根管治療 > 
  • 根管治療ははじめが肝心~歯医者は何でもっとよく説明してくれないのか?~

根管治療ははじめが肝心~歯医者は何でもっとよく説明してくれないのか?~

一度根管治療を受けた歯が、しばらくして痛くなるケースは少なくありません。

そのほとんどが、正しく根管治療が行われていないことに起因しています。

根管治療を受けたほとんどの方が、歯が痛むあるいは検診で虫歯が見つかり、虫歯治療の延長で根管治療を受けたと思います。

根管治療が虫歯治療よりも遥かに難易度が高い治療であることを、多くの患者さんはご存じありません。

「虫歯が深いので神経を取らないとダメですね」という一言だけで根管治療を受けることが多いのではないでしょうか?

どのような治療であっても、治療上のリスクや偶発症が存在します。

では、具体的にどのようなリスクや偶発症があるのでしょうか?

当院で根管治療を行う際には、以下のようなリスクおよび偶発症の説明を行い、同意書にサインをいただいています。

 

【根管治療における偶発症】

□治療の過程で、一時的に腫れや痛みが生じることがあります。

□根の中は非常に複雑な形をしており、治療器具の破折や根管内への残存が生じることがあります。

□歯根にクラック(ひび割れ)や大きなパーフォレーション(穿孔)がある場合には、基本的に抜歯の適応になります。

□根管治療を行っても治癒しない場合、外科的歯内療法や抜歯の適応になることがあります。

□ご予約が守られない場合、治療効果が出ないことがあります。

□根管治療終了後は、すみやかに修復処置に移行してください。

□根管治療の治療費は成功報酬ではないため、予後の良否に関わらずご返金する

ことはできません。

 

これらのことを事前に個別にご説明し、質問を受け、ご了承をいただいてから治療を行うようにしています。

歯科医師側からしてみると、上記の内容は当然起こり得るであろうことを前提に根管治療を行っています。

しかし、患者側からしてみれば、治療の結果が良好な場合は問題ないものの、予後が悪く、歯茎が腫れたり抜歯しかないと言われてはじめて根管治療がどのような治療であるかを調べるのではないでしょうか?

 

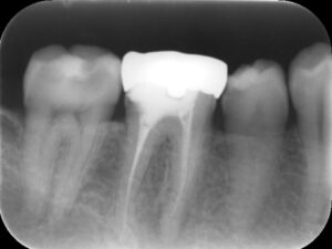
初診時レントゲン。右下の第一大臼歯に強い痛みを訴えて来院。すでに根管治療および補綴治療が行ってある。根管治療は行われているもの不十分であり、根尖部には黒いレントゲン透過像を認める。

初診時CT画像。根尖部には明らかな黒い根尖病巣を認める(黄⇒)。痛みが強い時の治療は麻酔が効きにくい上、再治療は治療時間がかかり、患者さんはしばしば苦痛を感じる。

 

根管充填時レントゲン。疼痛および頬部の腫脹が改善したため、根管充填を行った。根尖部まで緊密に根管充填されているのが分かる。

根管充填時CT画像。再根管治療は時間がかかるため、その間に炎症が進行し、歯槽骨の吸収が進んでしまった(黄⇒)。患者さんはとても辛い時間を過ごしたであろうことが伺える。

 

根管治療1年後。根尖部のレントゲン透過像はかなり縮小して治癒している。

同CT画像。広がりを見せていた根尖病巣は治癒し、歯槽骨が良好に再生している。

 

医療は極めて専門的であり、医師と患者でもつ情報の非対称性のため、相互理解に大きな乖離が生じています。

これを極力なくし、理解の共有を図ることが、医療を行う上で最も大切なことであると私は考えています。

歯科の保険治療の決定的な欠点は、この相互理解、情報共有を術前に十分に行う時間的余裕が無い点が挙げられます。

歯科と医科では、単位時間当たりに診察治療できる患者数に大きな隔たりがあります。

例えば、内科や耳鼻科、眼科、整形外科などを受診すると、医師が実際に診察治療を行う時間はほんの数分、もしかすると1分にも満たないかもしれません。コメディカルスタッフが多くの診療介助や説明を行っていると思います。

しかし、歯科においては、治療のほとんどは歯科医師にしかできない外科処置(削る、抜く、詰める、被せるなど)であり、一般的な治療を行う場合少なくても15~30程度の時間は必要になります。

この限られた時間では、できる歯科治療には限界があります。

そしてこの時間の中で相互理解を深め、情報共有まで行うことが極めて困難であることは想像に難しくないでしょう。

医療で最も重要なことは、患者と医師の相互理解ではないでしょうか。

 

治療費用:精密根管治療¥99,000/1歯

治療期間:1カ月

治療上のリスク:根管治療の成功率は100%ではありません。

デンタルリテラシーを高めるブログはこちら

神田の歯医者 神田デンタルケアクリニック
〒103-0022 東京都中央区日本橋室町4-3-12バンセイ室町ビル2F
TEL03-6262-3697

日付:   カテゴリ:コラム, 根管治療

診療内容

アクセス

中央本線神田駅(東京都) 南口から徒歩3分
総武線快速新日本橋駅 2番出口から徒歩1分
銀座線 三越前駅 A8出口から徒歩3分
Google Map