歯列矯正において、抜歯か非抜歯を決める決定的な要素は、歯の大きさと顎骨の大きさとの差異・不一致(ディスクレパンシー)です。
顎骨の大きさに対して歯の大きさが大き過ぎる場合には、歯はきれいに並ばずクラウディング(叢生、乱杭歯)を呈します。
また、顎骨の大きさに対して歯の大きさが小さい場合には、歯と歯の間に隙間を生じる歯列不正である空隙歯列となります。
歯列不正の頻度として多いのは、前者である顎骨の大きさよりも歯の大きさの方が大きいケースです。
この顎骨と歯の大きさとの不一致(ディスクレパンシー)がある場合には、歯をきれいに並べるために小臼歯の便宜抜歯や、歯のディスキング・IPR(Inter-proximal Reduction)・ストリッピングなどを行って歯列に隙間を作り、ディスクレパンシーの解消を行って歯を並べていきます。
デイスクレパンシー(顎骨と歯の大きさの不一致)の程度が大きければ抜歯が必要となり、ディスクレパンシーの程度が小さければ抜歯せずディスキング(IPR、ストリッピング)でスペースを確保し、歯をきれいに並べることが出来ます。
多少無理をすれば、ディスキング(IPR、ストリッピング)をして非抜歯で歯を並べることができるかもしれません。
しかしながら、抜歯をしたくないからと言って、無理な非抜歯での矯正治療は、歯根が歯槽骨からはみ出して歯肉退縮を招き、前歯は前突して出っ歯になったり開咬(オープンバイト)になる可能性が高く、噛み合わせが悪くなったり、将来歯を失うリスクが高まります。
したがって、抜歯か非抜歯かを決める際には、客観的な判断がきわめて重要となります。
非抜歯で矯正治療ができる典型的な歯列不正は、顎骨と歯の大きなのディスクレパンシーが少ない、上下的に奥歯のずれの無いアングルⅠ級のクラウディング(叢生、乱杭歯)のケースおよび空隙歯列のケースでしょう。
特に歯列の横幅が狭窄しているケースでは、歯列の側方拡大によって歯が並ぶスペースを確保できるため、歯列矯正は比較的難易度は低く、治療期間も少なくて済む場合が多いです。
これに対し、アングルⅡ級(出っ歯)およびⅢ級(受け口)のケースは、一般的に抜歯が必要となります。
初診時口腔内。前歯部の反対咬合(クロスバイト)およびクラウディング(叢生、乱杭歯)の改善を希望し来院。小臼歯部には鋏状咬合(シザーズバイト)も認め、咬合状態は良くない。下顎歯列弓はやや横幅が狭窄したV字型を呈し、顎骨と歯の大きさのディスクレパンシーは大きくない。前歯部の歯軸および突出感もあまりないため、下顎歯列の側方拡大による非抜歯矯正が可能と判断される。
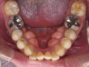
矯正治療後口腔内。非抜歯側方拡大によるワイヤー矯正を行った(ディスキングなし)。前歯部の反対咬合(クロスバイト)およびクラウディング(叢生、乱杭歯)が改善しているのが分かる。上下の歯列弓は、左右対称の美しいU字型のアーチフォームに修正され、小臼歯部の鋏状咬合(シザーズバイト)も改善し、咬合状態が正常化した。非抜歯ケースであるため、治療期間も最小限。
アングルⅠ級のケース(上下の奥歯にずれの無いケース)は、抜歯・非抜歯の判断を間違えなければ、矯正治療の難易度は高くありません。
最近では、デジタル化によって術後のシミュレーションを行えるようになってきましたが、これはあくまでもシミュレーションであり、術後の歯並びや顔貌を正確に再現しているわけではありません。
シミュレーションでは顎骨や歯肉、口唇、顔貌などの状態を正しく評価することは出来ないため、治療結果がシミュレーション通りにいかない可能性があります。
最終的には、歯科医による客観的な診断が正しく矯正治療を行う上で最も重要となるでしょう。
治療期間:1年6か月
治療費:¥980,000(保定装置含む)
治療におけるリスク:矯正治療によって歯肉退縮および歯根吸収、知覚過敏生じる可能性があります。治療後の保定を怠ると、歯並びの後戻りを生じます。
















