歯周病は、歯を支える歯槽骨が溶ける病気です。
初期症状としてまず歯肉の腫脹や出血が起こり、やがて歯槽骨の吸収が進むと歯の動揺(ぐらつき)やフードインパクションン(食片圧入;食べ物が詰まる)、そして歯の移動に伴う歯列不正や咬合痛を生じるようになります。
歯周病が進行して歯の動揺が強くなると、歯はいろいろな方向に移動するようになります。
その結果、すきっ歯や乱杭歯(叢生)、出っ歯(前突)など様々な歯列不正を引き起こし、しばしば審美的機能的に問題となります。
では、歯周病になってしまうと、この歯列不正は改善するすることは出来るのでしょうか?
結論からすると、きちんと歯周病を治療して管理し、歯のぐらつきが酷くなければ矯正治療を受けることは可能です。
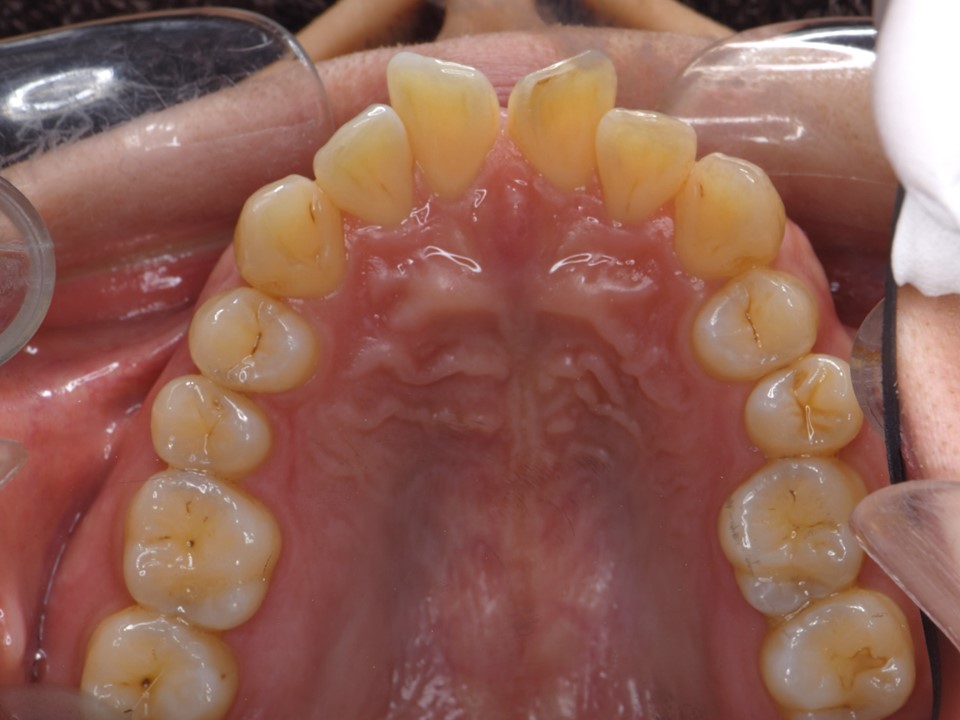
矯正治療前口腔内。歯周病により歯列不正を生じた30代女性。歯周病が進行していたため、全顎的な歯周初期治療および歯周外科処置(フラップ手術)を行った。右側下顎第一大臼歯は保存不可能であったため抜歯となった。上下前歯部は叢生(乱杭歯、クラウディング)を生じ、審美的にも機能的にも問題がある。歯列矯正を行うと、口腔内清掃が難しくなるため、治療前に正しいブラシイングの方法と習慣をきちんと身につけておく必要がある。また虫歯や根尖病巣がある場合には、矯正治療に伴い病状が進行するため、あらかじめ治療を済ませておく。
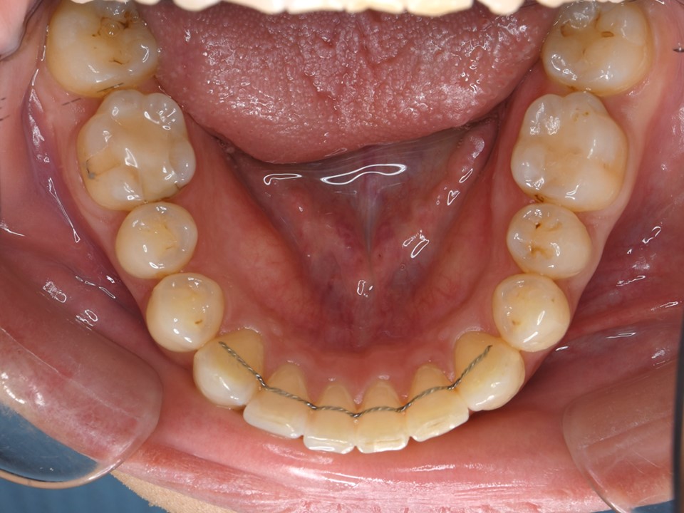
歯周病による歯列不正の矯正治療後。上下前歯部の叢生は改善し、左右対称の美しい歯列になった。欠損していた右側下顎第一大臼歯は、インプラントにて欠損補綴を行った。歯周病の矯正治療後では、歯の支持歯槽骨の減少により歯並びの後戻りを生じやすいため、厳密に長期間保定を行う必要がある。本症例ではワイヤー(FIX)にて保定を行った。
歯周病に罹患し、歯並びが悪くなって悩んでいる方は少なくないと思います。
歯周病であっても、歯列矯正を行うことは可能です。
歯列矯正を受けるには、虫歯、歯周病、歯の欠損などあらゆる口腔内の問題を改善しておく必要があります。
したがって、一般歯科医との連携は不可欠です。
また、歯周病の方の場合、歯をマイルドに優しい力で動かす必要があるため、治療期間が長くなる傾向があります。
矯正治療を受ける際には、治療計画について事前に担当医とよく相談をすることが重要です。
治療費用:歯列矯正¥880,000
治療期間:2年
治療上のリスク:きちんと保定を行わないと歯列の後戻りを生じることがあります。
神田の歯医者 神田デンタルケアクリニック日付: 2025年6月27日 カテゴリ:コラム, 歯周病, 矯正歯科




























































































-300x225.jpg)








