〒103-0022 東京都中央区日本橋室町4-3-12 バンセイ室町ビル2F
【診療時間】月〜金 10:00-14:00/15:00-18:30
      土 10:00-13:00/14:00-17:00
【休診日】日曜・祝日

お電話でのご予約は


※お急ぎの方はお電話ください。

  • TOP >  
  • ブログ > 
  • コラム矯正歯科 > 
  • オープンバイト(開咬)の矯正治療~詳解!矯正用インプラントを使用した非抜歯開咬治療~

オープンバイト(開咬)の矯正治療~詳解!矯正用インプラントを使用した非抜歯開咬治療~

オープンバイト(開咬:かいこう)とは、奥歯で噛んだ時に、前歯が全く嚙み合わない歯列不正のことを指します。

原因はいろいろ考えられますが、先天的な骨格の異常や、幼少期の指しゃぶり、舌突出癖、アデノイドや扁桃腺肥大・鼻炎などによる口呼吸を起因としたものなどがあります。

いずれにしても、オープンバイト(開咬)は奥歯でしか噛めないため、様々な不具合を生じます。

  • 審美性が悪い
  • 噛み合わせが悪い
  • 前歯で食べ物を噛めない
  • 顎関節症になりやすい
  • 奥歯の加重負担により、咬合性外傷(歯周病)になりやすい
  • 奥歯が欠けたり、割れたりしやすい
  • 肩こり、首こり、頭痛などの不定愁訴を引き起こしやすい

このように、オープンバイト(開咬)は多くの問題を抱えています。

したがって、オープンバイトを歯列矯正で治療するメリットは非常に大きいと言えます。

 

初診時。奥歯の痛みを主訴に来院。奥歯でしっかりと噛んでいる状態。前歯だけでなく、小臼歯、大臼歯も噛んでいないのが分かる。奥歯に噛み合わせの力が集中してかかるため、咬合性外傷となって痛みを生じている。最後方の第二大臼歯(7番)しか噛んでなく、奥歯が痛くなるのは必然といえる。根本的な解決には矯正治療が必要なケース。

 

下顎にブラケットを装着。下顎第二大臼歯(7番)の挺出(ていしゅつ;伸び出ていること)およびスピー湾曲(調節湾曲;歯列の湾曲のこと)が強いため、これを積極的に改善していく。

 

治療開始2カ月後。レベリングが進んできているが大きな変化はまだ見て取れない。前歯部のスペース(隙間)をエラスティックチェーン(ゴム)で徐々に閉じていく。

 

3か月後。上顎にブラケットを装着し、レベリングを行っていく。下顎には前歯を後方へ引くためのクロージングアーチワイヤーを装着。

 

4か月後。上顎のレベリングを引き続き行う。前歯部の捻転(捻じれ)は徐々に取れてきている。

 

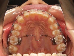
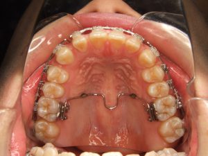
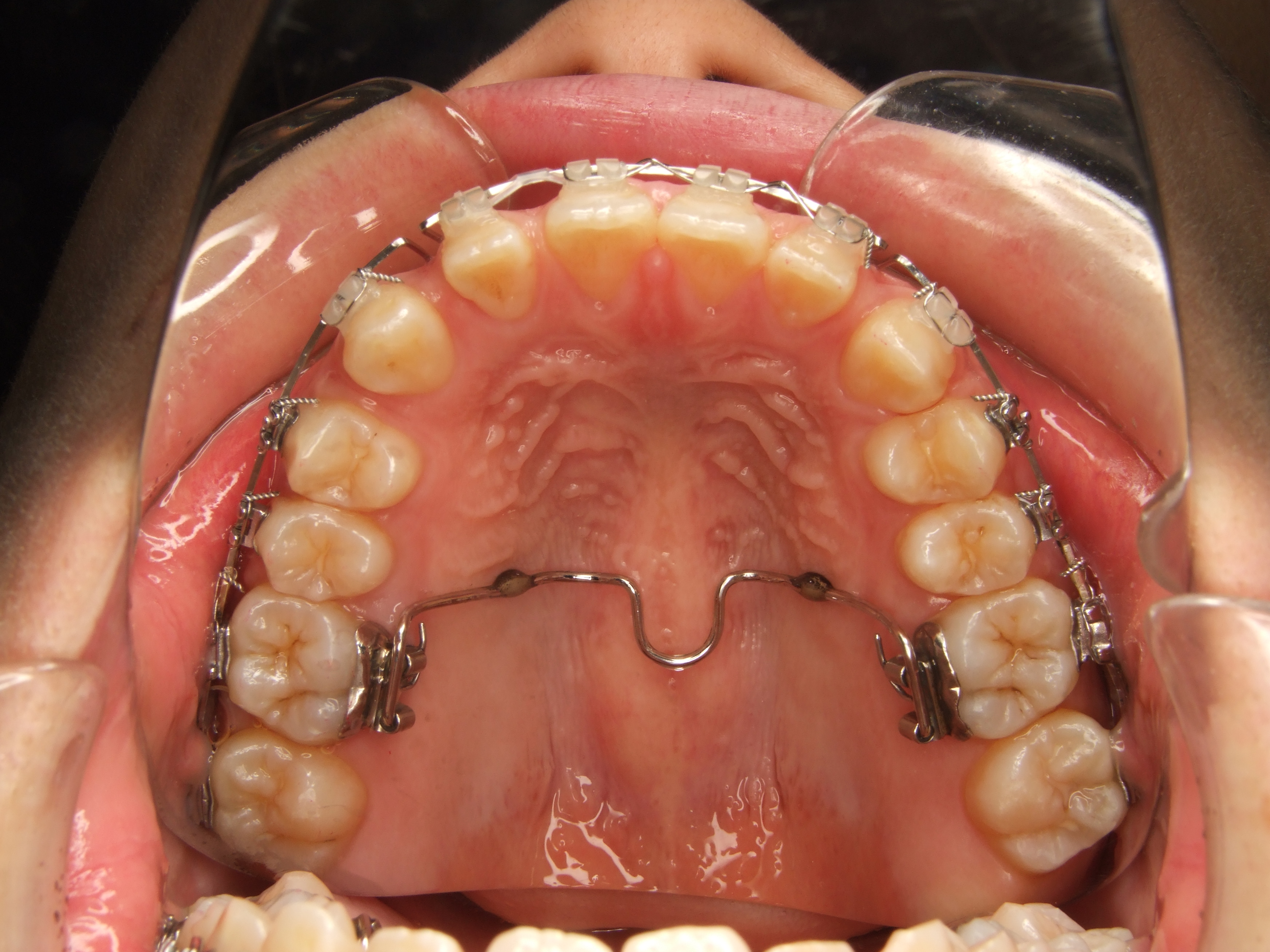
5か月後。上顎舌側にTPA(トランス・パラタル・アーチ)を装着。下顎にはMEAW(マルチループ・エッジワイズ・アーチワイヤー)を装着。前歯部で上下に顎間エラスティックを装着し、臼歯部の圧下(骨の中に入れ込む)を図る。エラスティックをきちんと行わないと、開咬が悪化するので注意。上顎大臼歯の圧下を図るため、上顎臼歯部にプレートタイプの矯正用インプラントを設置する。

 

6か月後。上顎臼歯部に矯正用インプラントを設置。オープンバイトがかなり改善してきているのが分かる。顎間エラスティックの効果は十分に発揮されている。上顎のスペース(空隙)はエラスティックチェーンで閉じていく。

 

7か月後。矯正用インプラントの効果で、オープンバイトはさらに改善しているのが分かる。引き続き、前歯部のスペースも閉じていく。

 

8か月後。左側臼歯部の開咬もかなり改善していているのが分かる。矯正用インプラントによって、上顎臼歯部の圧下と、前歯部のリトラクション(後方移動)を同時に行っていく。

 

 

9か月後。上下ともに、前歯部のリトラクション(後方移動)が進み、スペースがかなり閉じてきているのが分かる。

 

10か月後。上顎にクロージングアーチワイヤーを装着し、前歯部のリトラクション(後方移動)を積極的に進める。

 

11か月後。オープンバイトがかなり改善し、前歯部が噛んできているのが分かる。上顎前歯のリトラクションをさらに進める。

 

12か月後。下顎の強いスピー湾曲が改善したため、MEAWからクロージングアーチワイヤーに変更。上下とも前歯部のリトラクションを進める。

 

13か月後。引き続き、前歯部のリトラクションを進める。

 

 

14か月後。下顎の前歯部のスペースは完全に閉じた。上顎のTPA(トランス・パラタル・アーチ)を外し、臼歯部の咬合関係を緊密に噛ませていく。

 

15か月後。上顎は引き続き前歯のリトラクションを行う。

 

17か月後。正中(歯列の真ん中)を修正するために、上顎前歯部を左側(向かって右)に引いている。小臼歯部の咬合を緊密にするためにワイヤーベンディング(ワイヤーを曲げて調整すること)を行い、咬合の微修正を加えていく。左側臼歯部(向かって右)はさらに噛み込んできているのが分かる。

 

19か月後。ワイヤーベンディングの効果で、さらに咬合が緊密になってきているのが分かる。

 

21か月後。オープンバイトは改善し、緊密な咬合関係が得られているのが分かる。前歯部のスペースをさらに緊密に閉じていく。

 

22か月後。上顎前歯部のスペースを完全に閉じるため、再度クロージングアーチワイヤーを装着。

 

23か月後。下顎小臼歯部のブラケットを定位置に付け替え、ストレートワイヤーに交換。歯列の微調整を行う。

 

24か月後。上顎に残るわずかなスペースを閉じるため、ワイヤー調整を行う。

 

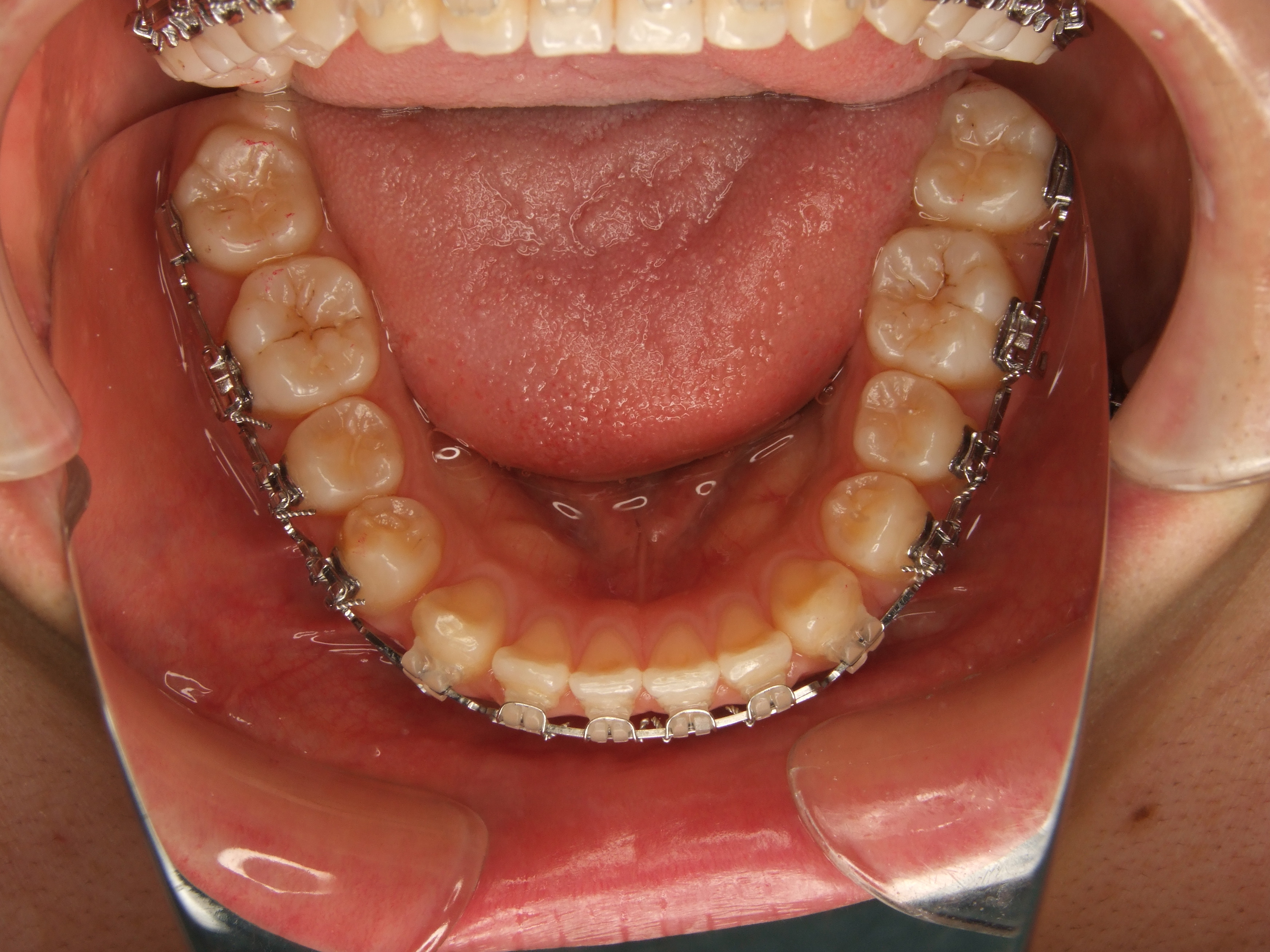
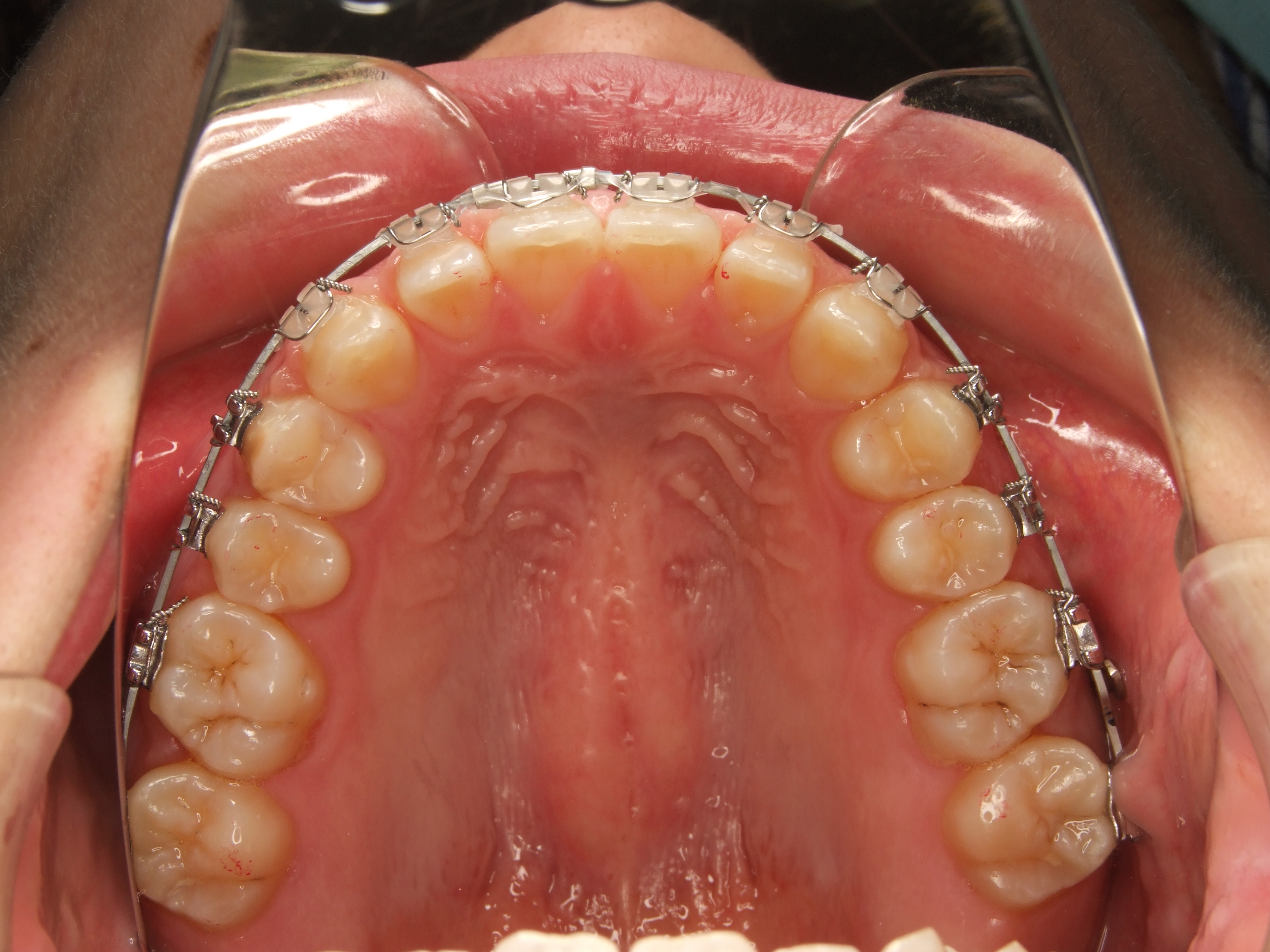
治療後。オープンバイト(開咬)は改善し、左右ともにしっかりと緊密に噛んでいるのが分かる。上下の前歯部にあったスペースも完全に閉じている。初診時にあった奥歯の痛みは完全に消失し、何でもしっかりと噛むことが出来るようになった。前歯部が噛み合うことで、発音も明瞭になった。肩こり、首こり、頭痛などの不定愁訴も消失。

 

オープンバイト(開咬)は、審美的にも機能的にも、さらに健康上極めて不利益が大きい歯列不正です。

顎間エラスティックだけでの改善では、後戻りもしやすい歯列不正でもあります。

オープンバイトは、非抜歯矯正よりも抜歯矯正のほうが前歯部の被蓋(ひがい;重なり)を深くできるため後戻りは起こりにくいです。

非抜歯矯正であっても、矯正用インプラントを併用して前歯部の被蓋を深くすることができれば、後戻りのリスクは少なくなります。

また、後戻りを防ぐためには、舌の悪習癖や口呼吸の改善、噛み締めなどのMFT(筋機能訓練)なども有効でしょう。

デンタルリテラシーを高めるためのブログはこちら

神田の歯医者 神田デンタルケアクリニック
〒103-0022 東京都中央区日本橋室町4-3-12バンセイ室町ビル2F
TEL03-6262-3697

日付:   カテゴリ:コラム, 矯正歯科

診療内容

アクセス

中央本線神田駅(東京都) 南口から徒歩3分
総武線快速新日本橋駅 2番出口から徒歩1分
銀座線 三越前駅 A8出口から徒歩3分
Google Map