歯列不正の原因の多くは、歯と顎の大きさのディスクレパンシー(不調和)にあります。
元来、歯の形や大きさなどの形質は遺伝的素因によって決定されると考えられていましたが、現代の恵まれた栄養摂取により、歯の大きさは大きくなってきていることが分かっています。
一方で、加工食品や調理方法の発達で、現代では咀嚼回数の減少が顕著なものになっています。
咀嚼の減少が、歯の萌出や歯列形態、咀嚼筋や顎骨の発達などに影響を及ぼし、歯列不正の一因となっています。
今回は、クラウディング(叢生、乱杭歯、凸凹)による歯列不正の治療例を解説します。
患者さんは50代女性、前歯の凸凹を主訴に来院されました。
上顎側切歯の反対咬合、左側第二小臼歯の反対咬合を認めます。
非抜歯で歯列矯正を行うと、前歯が前方に出て、出っ歯になってしまうケースですので、上下左右の小臼歯を4本抜歯して矯正治療を行うこととしました。
初診時。上顎の側切歯が内側に入り反対咬合を呈する。左側下顎第二小臼歯は頬側に出て、反対咬合を呈しているのが分かる。
治療開始時。まず、上顎の左右第一小臼歯を抜歯し、犬歯(糸切り歯)を後方に牽引していく。ここでは、犬歯だけを選択的に動かすため、あえてセクショナルアーチ(部分的なワイヤー)を使用。
1か月後。上顎犬歯のリトラクション(後方移動)を継続。下顎の左右小臼歯を抜歯し、ブラケットを装着。下顎右側犬歯と左側第一小臼歯のリトラクションを行っていく。
2か月後。上顎犬歯のリトラクションが進み、側切歯との間に隙間が見られる。引き続き、上下ともリトラクションを進める。
3か月後。上顎前歯部にもブラケットを装着し、レベリング(歯の高さや凸凹、ねじれ等を整えていくこと)を行っていく。上下とも、リトラクションは継続。
4か月後。さらに上下ともリトラクションを継続。ワイヤーサイズを徐々に上げ、太く弾性の強いワイヤーに変えていく。
5か月後。上下ともリトラクションがかなり進み、上顎側切歯の反対咬合も改善している。歯が動く過程で、臼歯部の噛み合わせが甘く(悪く)なっているのが分かる。これは一時的なものなので心配はない。
6か月後。ワイヤーをさらにサイズアップし、リトラクションを継続。歯の傾斜やねじれを積極的に修正していく。
7か月後。リトラクションを継続。ワイヤーの歪みがかなり少なくなっているのが分かる。
8か月後。上下4前歯のリトラクション(後方移動)を行う。抜歯矯正による前歯のリトラクションでは、前歯部の噛み合わせが深くなりやすい(バーチカル・ボーイング・エフェクト:弓なり効果)ので注意が必要。
9か月後。リトラクションを継続。抜歯スペースがかなり閉鎖されており、前歯が後方に移動しているのが分かる。前歯部の噛み合わせはさらに深くなっている。
10か月後。前歯のリトラクションを一旦休止し、過蓋咬合となった上下前歯の圧下(歯を骨の中に沈めていくこと)を図り、咬合平面を修正していく。
11か月後。引き続き、上下前歯の圧下による咬合平面の修正を行う。
12か月後。上下前歯の圧下が進んできたため(過蓋咬合が改善)、前歯のリトラクション(後方移動)を再開。
13か月後。引き続き、前歯部のリトラクションを継続。
14か月後。上顎前歯のリトラクションの為に、上下の歯にエラスティックと呼ばれるゴムを装着。これを24時間使用する。
15か月後。下顎の抜歯スペースはほぼ消失。上顎前歯のリトラクションを継続していく。臼歯部の噛み合わせがかなり緊密になってきているのが分かる。
16か月後。上顎右側の抜歯スペースは消失しているが、左側にはまだスペースが残っているため、引き続きリトラクションを継続。
17か月後。引き続き、上顎左側のスペースを閉じるようにリトラクションを継続。
18か月後。抜歯スペースが完全に閉じているのが分かる。ここから、噛み合わせの緊密化を図るために微調整を加えていく。
19か月後。上下の歯の正中(真ん中)もピッタリと一致している。前歯の噛み合わせがやや深い(過蓋咬合)ので、ワイヤーによるバイトオープニング(噛み合わせ深さを浅くすること)を図る。
20か月後。引き続き、バイトオープニングを図る。
21か月後。さらにバイトオープニングを図る。必要に応じて咬合調整を行い(歯の噛み合わせ調整)、噛み合わせの緊密化を図る。
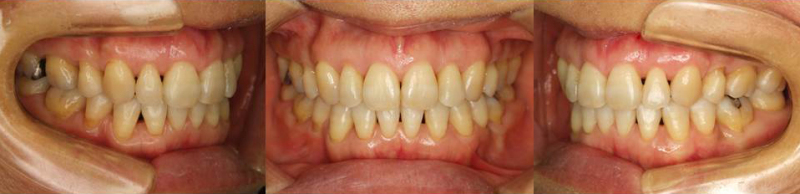
22か月後。ブラケットオフ時。凸凹であった前歯はきれいに並び、前歯・臼歯ともに緊密な噛み合わせになっているのが分かる。矯正治療の仕上がりは、最終的な咬合関係の良否で決まる。このあと、歯の後戻りを防止するために、保定に入る。
現代の矯正治療は、器具やシステムの進化により、歯を動かすこと、並べることは、昔と比べてはるかに容易になっています。
しかしながら、矯正治療後の仕上がりは、治療を受ける医院やDrによってかなりのばらつきがあるのが現実です。
また、近年では、治療しているのが目立たないという理由でマウスピース矯正を希望される患者さんが増えています。
マウスピース矯正をしている患者さんをたくさん見てきましたが、明らかに適応ではないと思われる症例が多いと感じています。
無理に非抜歯で治療を行っているため、予定通りに治療が進まないばかりか、前歯が突出して出っ歯になっているケースが目立ちます。
中には、非抜歯で2年間もマウスピースで矯正をしながら、やっぱり抜歯しないと揃わないと言われたりすることもあるようです。
抜歯か非抜歯かの選択は、もちろん患者さんの希望は重要ですが、あくまでも医学的にきちんと歯が並ぶか、噛み合わせが整うかという根拠によることがより重要です。
歯並びが良くなっても、出っ歯になって歯茎が退縮したり、顔貌や噛み合わせがかえって悪くなるケースが現実に存在しています。
したがって、矯正治療に際しては、最初の診査・診断、そして治療計画が最も重要ということになるのです。


























2.jpg)