歯の変色は、歯の神経(歯髄)を取ったり壊死したりすることで起こります。このような歯を失活歯(しっかつし)と呼びます。
失活歯の治療は、単に色を白くするだけでなく、➀「歯の寿命を保つための基礎工事」と②「見た目を整える仕上げ」の2段階で考える必要があります。
専門的な視点から、それぞれのステップを詳しく解説します。
1. 基礎工事:根管治療と土台(コア)の構築
神経がない歯は栄養供給が止まっているため、非常に脆く、細菌感染に弱い状態です。まずはここをしっかり固めます。
① 精密根管治療
歯の根の中にある細菌を徹底的に除去します。
-
再根管治療: 過去に神経を取っていても、根の先に膿が溜まっている場合は、古い充填剤を外して洗浄し直します。
-
ラバーダムの使用: 治療中に唾液(細菌)が根の中に入らないよう、ゴムのシートで隔離して行うのが理想的です。
② 土台(コア)の選定
ここが歯を破折から守る最重要ポイントです。
-
ファイバーコア(自由診療): 象牙質に近い弾性があるため、噛む力がかかった時に「しなり」で力を分散し、歯根が割れるのを防ぎます。 また、光を透過するため、後の被せ物が美しく仕上がります。
-
メタルコア(保険適用): 金属の土台です。非常に頑丈ですが、硬すぎるため楔(くさび)のように力が集中し、歯の根を縦に割ってしまう(歯根破折)リスクがあります。
2. 審美リカバリー:変色へのアプローチ
失活歯は鉄分の沈着などで徐々に黒ずみます。これを解決する方法は主に3つです。
方法A:ウォーキングブリーチ
歯の内部(かつて神経があった空間)に直接漂白剤を封入する方法です。
-
手順: 1〜2週間ごとに薬剤を交換し、理想の白さになったら蓋をします。
-
メリット: 自分の歯を削る量を最小限に抑えられます。
-
デメリット: 数年で色が後戻りする可能性があります。また、稀に歯の根が吸収されてしまうリスクがあります。
方法B:セラミッククラウン(被せ物)
歯を削り、全体をセラミックの冠で覆います。
-
手順: 土台を立てた後、形を整えて型取りをします。
-
メリット: 強度を補強でき、色や形も自由に調整可能です。変色の後戻りもありません。
-
デメリット: 健康な部分も含めて歯を一周削る必要があります。
方法C:インターナルブリーチ + ラミネートベニア
内部を白くした上で、表面に薄いセラミックを貼り付ける複合技です。
-
メリット: クラウンよりも削る量を抑えつつ、高い審美性を維持できます。
3. 治療選択の判断基準
どの治療を選ぶべきかは、「残っている自分の歯の量」で決まります。
-
自分の歯がしっかり残っている場合: 「ファイバーコア + ウォーキングブリーチ」で、できるだけ削らずに様子を見るのが第一選択です。
-
歯が大きく欠けている、または強度が不安な場合: 「ファイバーコア + セラミッククラウン」で、補強と審美を同時に行うのが最も長持ちします。
注意点:放置のリスク
失活歯の変色を「単なる見た目の問題」として放置すると、内部で二次虫歯が進んでいても気づかず、ある日突然根元から折れて抜歯に至るケースが少なくありません。
もし特定の歯がグレーっぽく変色してきたと感じているなら、早めにレントゲンを撮り、根の中に問題が起きていないかを確認することをお勧めします。
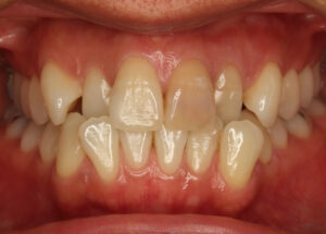
初診時口腔内。上顎右側中切歯(向かって右)の変色の改善を主訴に来院。すでに根管治療がしてある失活歯であった。審美的な問題が大きい。変色が強いため、インターナルブリーチ(ウォーキングブリーチ)での完全は困難と診断し、オールセラミッククラウンによる審美的改善を図ることにした。
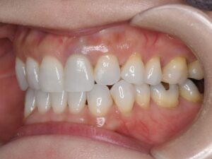
治療後口腔内。ジルコニアオールセラミッククラウンにて治療を行った。自然な色合いとなり、美しい口元になった。
治療費:オールセラミッククラウン¥132,000
治療期間:2週間
治療上のリスク:硬いものを噛むとセラミックが欠けることがあります。









































































