歯肉は年齢とともに徐々に退縮をしていきます。
若い時に入れた前歯のセラミッククラウンも、入れた当時はきれいでも、歯肉が退縮を起こすことで徐々に歯根が露出し、審美的な問題を生じるようになります。
虫歯による変色でなければ、緊急性がないので必ず治療しなければならないわけではありません。
しかし、上顎前歯はやはり人目に付きやすいため、再治療を希望される方は多いでしょう。
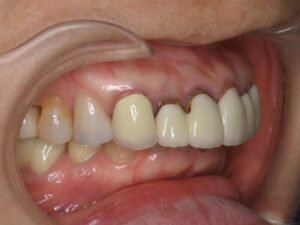
治療前。メタルセラミッククラウンを入れてからかなり時間が経っているため、歯肉の退縮が起こり審美的に問題を生じている(ブラックマージン)。人目を気にせず歯を見せて笑うことは出来ない。
治療後。オールセラミッククラウンにて再治療を行った。歯肉との調和もとれ、自然な仕上がりになっている。
より綺麗な状態を長持ちさせる秘訣は、セラミック治療の前に正しいブラッシングの方法を身につけ、歯周病を改善し健康な歯肉の状態にすることです。
歯肉の状態が良くないままセラミックを入れると、治療後早期に歯肉の退縮が起こる可能性があります。
また、精密でフィットの良いセラミッククラウンを製作するには、的確な歯肉圧排とシリコンでの精密な印象採得(型取り)を行うことも重要です。
前歯の審美的な改善をお考えの方は、経験豊富な歯科医院でご相談されると良いでしょう。
治療費:オールセラミッククラウン¥132,000/1歯
治療期間:3週間
治療上のリスク:セラミックは硬いものを噛むと破折するリスクがあります。また、歯ぎしりや食いしばりのある方もセラミックが破折するリスクがあります。






