歯の神経を取ると、歯は栄養供給がなされなくなり、破折を起こすリスクが高まります。
歯根が破折した場合には、治療で歯を残すことが難しく、基本的には抜歯が適応となります。
歯根破折には、歯根が縦に割れる垂直性歯根破折と、横に割れる水平性歯根破折があります。
垂直性歯根破折の場合には、治療が難しく、基本的に抜歯となります。
一方、水平性歯根破折の場合には、条件が良い場合に限り、保存的治療が可能となります。
その条件とは、
●歯根の長さが十分に長いこと
●歯肉縁より比較的浅いところで破折していること
●大きな、難治性の根尖病巣が無いこと。
これらを満たせば、エクストルージョン(歯牙の挺出)という手法により、歯の保存が可能な場合があります。
エクストルージョンには2つの方法があります。
一つは外科的挺出、もう一つは矯正的挺出です。
外科的挺出は、歯根を途中まで脱臼させ、その後数週間固定をする方法です。
治療の期間と回数が少なくて済む反面、歯根と歯槽骨が癒着を起こすリスクや、歯根を脱臼させる際に歯根が破折するリスクがあります。
これに対して、矯正的挺出は、歯にゴムなどで持続的な力を加え、歯根を骨の中から少しづつ引っ張り出す方法です。
外科的挺出と違い、さらなる歯根破折や骨との癒着のリスクがない反面、治療期間と回数がかかるデメリットがあります。
基本的には、歯根に負担をかけないために、矯正的挺出を行うことが望ましいでしょう。
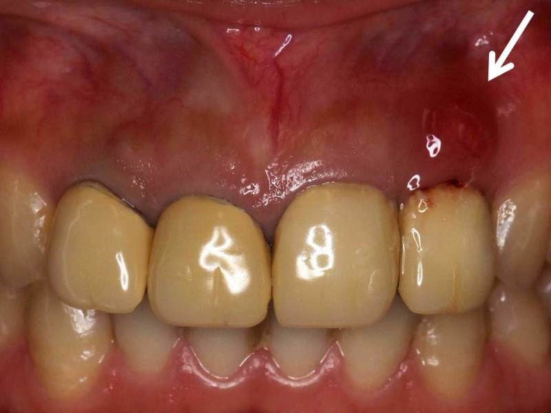
初診時。水平性歯根破折により、歯茎の腫れが見られる。保険のクラウンが装着されており、色の変色とブラックマージン(歯と歯茎の間の黒ずみ)を生じている。著しく審美性が悪い。
比較的浅い部分での水平性歯根破折であったため、矯正的挺出を試みる。
まず、破折した部分を取り除き、根管治療を完全に行ったあとに仮歯を装着する。仮歯の裏側から矯正装置を装着し(→)ゴムを使用して骨の中から歯根を徐々に引っ張り出す。
治療後。矯正的挺出後、連結補綴を行い(歯を繋げて被せること)、後戻りの防止と固定を行う。歯茎の腫れがなくなり、きれいなピンク色の歯肉を呈する。セラミッククラウンで補綴することにより、白く透明感のある美しい仕上がりになる。ブラックマージンも改善している。
歯根が破折した場合、歯を保存することは非常に難しくなります。
状況によっては、抜歯をしてブリッジやインプラント治療の方が予後が良い場合も少なくありません。
治療法の選択については、診査・診断がとても重要になりますので、担当の先生とよくご相談することをおすすめします。





