外科的歯内療法
根尖病変を外科的に取り除く処置外科的歯内療法について
外科的歯内療法とは
歯根の先端にある根尖病変を外科的に取り除く処置のことを外科的歯内療法と呼びます。
一般的に、歯根の先端を3mm程度切除し根尖病変と一緒に取り除き、切除した歯根の先端部からMTAセメントを詰めます。これを歯根端切除術・逆根管充填といいます。
外科的歯内療法は、根管治療では治らない根尖病変がある場合や、何らかの理由で被せ物を外せない、或いは外したくない希望がある場合に行います。
マイクロスコープを使用した歯根端切除・逆根管充填の成功率は90%以上と非常に高いのが特徴です。ただし、部位によっては視野の問題、神経・血管などの解剖学的な問題で適応にならないケースもあります。その場合は、意図的再植を検討することになります。
外科的歯内療法が適応のケース

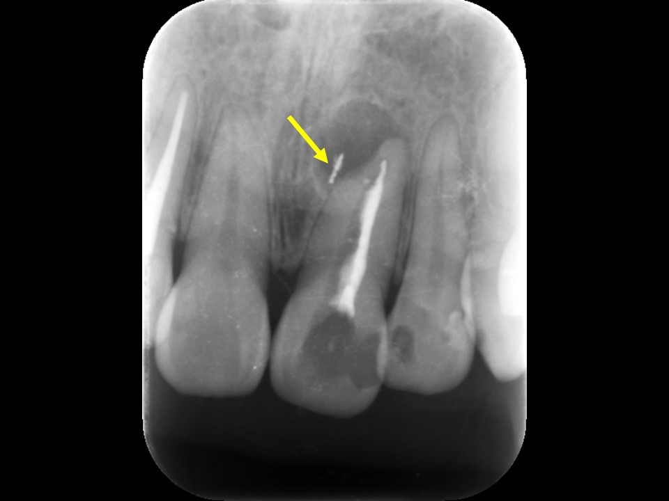
上顎前歯部は根管充填されているものの不十分で、歯根の先端には根尖病変と思われるX線透過像を認めます。以前の治療で根尖部はすでに壊れており、根尖外には破折したファイルが迷入しています(矢印)。外科的にファイルの撤去が必要なケースです。
マイクロスコープを使用した外科的歯内療法の成功率は、統計上90%以上と非常に高いです。
外科的歯内療法の
治療方法・手順
1. 麻酔
表面麻酔を行い、局所麻酔をしっかりと行います。患者様が治療中に痛みを感じずリラックスして処置をお受けになれることは、正確な手術をするためにとても重要です。
2. 歯肉・歯槽粘膜の切開・剥離
歯肉を切開・剥離し、根尖病変および歯根の先端を明示します。辺縁骨の残存状態や、被せ物の装着の有無、丈夫な角化歯肉が十分あるかなどを術前にしっかりと診査し、適切な位置に切開を行います。
3. 根尖病変の切除
根尖部にある病変および以前に行った治療で根尖から飛び出てしまった薬剤やガッタパーチャを、完全に掻爬(ソウハ)・切除します。
4. 歯根端切除・逆根管充填
マイクロスコープを用い、歯根にクラック(ひび割れ)や側枝などが無いか確認します。歯根の先端をおおよそ3mm程度切除し、超音波の専用機器で根尖部から逆根管形成をします。逆根管形成をした根尖部にバイオセラミックセメント(MTA,RRMなど)を用いて逆根管充填を行います。
側枝がある場合は、側枝の部分も含めて処置を行います。根尖部に限局したクラックがある場合には、クラックが生じている部分を含めて歯根を切除し、逆根管形成・逆根管充填を行います。

歯根端切除を行ったあとに逆根管形成をするための超音波機器です。マイクロスコープを用いた逆根管充填では必要不可欠です。

逆根管充填に使用するバイオセラミックセメントです。写真はエンドシークエンスのRRMです。
5. 縫合
創部をきれいに縫合して処置は終了です。術後の痛みと腫れを抑えるために抗生物質と鎮痛剤を処方します。一般的に、マイクロスコープを使用した歯根端切除・逆根管充填は、術後の腫れや痛みは比較的少ないことが多いようです。
通常の歯科治療をお受けになる程度の侵襲とお考えいただきご来院ください。
手術当日は、患部を冷やすと術後の腫れや痛みを抑えるのに効果があります。翌日以降は患部を冷やすと血流が阻害されて治癒が遅れるので、冷やさないようにしましょう。
外科的歯内療法の症例
Case1
右上の前歯の歯茎に
ニキビのような腫れものができた
診断と治療計画の立案
根管充填が不十分で、根尖部にX線透過像を認める(下写真)ことから、根管内のバクテリアや腐敗物質が原因の慢性化膿性根尖性歯周炎(根尖病変)と診断しました。
通常であれば、まず再根管治療を行うケースです。
しかしながら、当該歯は以前に他院で歯根端切除を受けており、すでに根尖部が切除されて歯根が短くなっていました。
また、被せてあるセラミッククラウンは隣在歯と繋げて装着してあり、切り離して治療すると、歯根が短くなっているため揺れが生じる可能性もあります。
このため、再根管治療の成功率は低く(40%程度と推測)、またセラミッククラウンを2本とも外して作り直しが必要になること、海外在住による通院回数の制限などを総合的に考慮した結果、再度の歯根端切除・逆根管充填を行うことにしました。
| 治療前レントゲン | 治療前CT |
|---|---|
| 治療前レントゲン |
|---|
| 治療前CT |
|---|
術前レントゲンおよびCT画像です。上顎前歯に連結したセラミッククラウンが装着してありますが、根管充填は不十分です。
根尖部には根尖病変と思われる黒いX線透過像を認めます(矢印)。すでに一度歯根端切除が行われているため、隣在歯と比べて歯根が短くなっています。
歯根端切除・逆根管充填
局所麻酔をしっかりと行い、歯茎を切開・剥離して根尖部を明示します。根尖はすでに一度切除されているため研磨する程度にとどめ、根尖病変を完全に取り除きます。
マイクロスコープを使用し、歯根の先端から超音波チップにて逆根管形成を行い、MTAなどのバイオセラミックセメントを充填し(モダンテクニック)縫合します。術後の歯茎の腫れや痛みを抑えるために、抗生物質と鎮痛剤を服用し、患部を安静にします。
予後確認
定期検診時、適宜レントゲンやCTにて根尖病変の治癒の程度を確認します。(下写真)
| 治療後レントゲン | 治療後CT |
|---|---|
| 治療後レントゲン |
|---|
| 治療後CT |
|---|
歯根端切除・逆根管充填6か月後レントゲンおよびCT画像です。
根尖部の黒いX線透過像は完全に消失しており、歯槽骨が再生し根尖病変の治癒を認めます。
主訴 |
右上の前歯の歯茎にニキビのような腫れものが出来た(1か月後には海外に赴任予定だった) |
|---|---|
年齢・性別 |
48歳 女性 |
治療期間 |
1週間(2回) |
治療費 |
歯根端切除・逆根管充填 |
治療の |
術後、一時的に歯茎の腫れや痛みを生じることがあります。 |
-
Tooth de
虫歯治療
進行レベルごとの
適確な治療虫歯
-
Perio
歯周病治療
大切な歯を
抜かずに残す治療歯周病
-
Occlusion
噛み合わせ
それぞれの
正しい噛み合わせを噛み合わせ
-
Cleaning
予防歯科
細やかな
ブラッシング指導予防歯科
-
Denture
義歯
毎日の食事を
楽しく美味しく義歯
-
Orthodontic
矯正歯科
見た目もキレイに
健康な歯へ矯正歯科
-
Gallery
審美歯科
患者様の納得いく
仕上がりに審美歯科
-
Wisdom Tooth
親知らず
痛みに配慮した
親知らずの抜歯親知らず
-
End
精密根管治療
自分の歯を
抜かずに残す精密根管治療
-
Implant
インプラント
自然な噛み心地を
体感できるインプラント

