抜髄
歯を残すための治療抜髄について
抜髄とは
歯の歯髄(しずい:歯の神経)をはじめて取り除く治療のことを抜髄と呼びます。歯髄は豊富な毛細血管と神経繊維からできており、歯に栄養を送るとともに、外部からの刺激に対する知覚を司っています。
虫歯が深くなっていたり、外傷で歯が破折してバクテリアが歯髄に感染する、あるいは知覚過敏や歯周病が重症化すると、歯髄が炎症を起こして歯髄炎(しずいえん)になります。歯髄炎の状態になると、歯の強烈な自発痛(じはつつう:何もしなくても痛むこと)や温熱刺激による痛み、歯を噛み合わせると痛む(咬合痛)などの症状が生じるようになります。
ほとんどの根管治療は、抜髄から始まります。抜髄で正しく根管治療を行い、きちんと根管内部を清掃・消毒が行われ、隙間なく緊密に根管充填(こんかんじゅうてん*お薬を詰めること)がなされれば、将来再治療になる確率は非常に低くなります。
一方、我が国の保険診療では、一般的にきちんと抜髄が行われないため、根管内に持続的なバクテリアの感染が生じ、歯根の先端に膿を持つようになります。これを根尖病変(根尖病巣)と呼びます。
高度な技術で正しい手順に従って処置を行えば、抜髄における根管治療の成功率は非常に高く、90%以上の成功を期待できます。したがって、根管治療においては、いかに正しく抜髄が行われるかが最も重要となります。
抜髄が適応のケース
![]() ![]() |
虫歯が深く歯髄に達しており、強い自発痛、温熱痛、咬合痛を生じています。
このような不可逆性の歯髄炎を生じた場合、歯髄を温存することは難しく、抜髄の適応となります。根管治療の成功率は90%以上と極めて高いです。
抜髄の治療方法・手順
1. 麻酔
根管治療を行う際には、痛みを感じないように毎回麻酔を行って処置を行います。当院では、麻酔が痛くないようにしっかりと表面麻酔を行います。炎症による痛みが強い場合は麻酔が効きにくいため、一旦鎮痛薬で炎症を抑えてから治療を行う場合もあります。
電動注射器です。自動制御で一定の速度、圧力で麻酔薬を注入でき、痛みの軽減に役立ちます。

針の無い麻酔噴霧器「シリジェット」です。通常の麻酔をする前に使用することで、針による「チクッ」とする痛みを感じません。
「33G」の極細の注射針です。一般で使用されている針よりも断然細いものを使うことで、刺入時の「チクッ」とした痛みを軽減できます。
2. 虫歯や詰め物、
被せ物の除去および隔壁の作成
虫歯や歯に詰めたり被せてある修復物を完全に取り除きます。歯髄炎になった歯の多くは虫歯が大きかったり、すでに大きな詰め物や被せ物がしてあることがほとんどです。虫歯や詰め物、被せ物を取り除くと大きな穴になったり、歯が薄くなってしまいます。
このままでは歯にラバーダムを行えず、また消毒薬をしっかりと密閉しておくことが出来ません。
このような場合には、コンポジットレジン(白いプラスチック樹脂)で歯の周囲に壁を作り補強します。これを隔壁(かくへき)と呼びます。
隔壁を作ることによって、ラバーダムを使用した清潔・安全な根管治療を行うことが可能となります。

被せ物を外し、コンポジットレジンにて隔壁を作成したところです。歯冠の崩壊が大きい場合には、隔壁を作成しないとラバーダムが行えず、また消毒薬を確実に密封させておくことが出来ません。
3. 根管の清掃・消毒
根管内の感染した歯髄を取り除き、歯根の先端まできれいに清掃していきます。マイクロスコープ視野下にて根管内に薬剤を満たし、専用の超音波チップによる振動を与えることによって、肉眼では見えない感染した組織や切削粉まで完全に除去・洗浄します。
根管内の清掃が終わったら、消毒薬にて十分に殺菌・消毒します。
超音波の根管内洗浄装置です。
根管内の汚れや削りカスを最適な超音波振動できれいにし、消毒薬による殺菌・消毒効果を高めることが出来ます。
根管長測定装置です。根管の長さを正確に測定し、歯根の先端部まで完全に清掃するために役立ちます。
ニッケルチタンファイルを使用するための電動モーターです。回転数やトルクを自動制御でき、短時間で根管内の拡大・清掃が行えます。
4. 根管充填
根管内がきれいになったら、隙間ができないように最終的な薬を歯根の先端まで緊密に充填します。
当院では、高い生体親和性や封鎖性、抗菌性、流動性を持つペースト状のバイオセラミックシーラーとガッタパーチャ(ゴム状の樹脂)を使用し根管充填を行っています。
バイオセラミックシーラーを用いた根管充填は、処置後の痛みが極めて少なく根尖病変の治癒が早いですが、非常に高価で健康保険では適応外の薬剤となっています。
当院で使用しているバイオセラミック系の根管充填シーラーです。ケイ酸カルシウム、リン酸カルシウム、水酸化カルシウム、酸化ジルコニウムなどを含み、生体親和性が極めて高く治癒も早いです。
根管充填に使用する専用機器です。ガッタパーチャを軟化して圧接するとともに、軟化したガッタパーチャを積層して充填していくことで、緊密な根管充填ができます。
5. 歯冠修復処置
歯に詰め物を入れたり、被せ物を装着することを歯冠修復と呼びます。歯髄を失った歯は、栄養供給がされないため枯れ木のように非常に脆くなっています。
特に臼歯(奥歯)には体重ほどの咬合力がかかるため、コンポジットレジンやインレーなどの詰め物による修復を行うと、歯根にクラックや破折を生じる危険性が高まります。このため、臼歯部においては基本的にコア(土台)およびクラウン(被せ物)による補綴が必要です。前歯に関しては、強い咬合力がかかりにくいので、コンポジットレジンによる充填でも大丈夫な場合もあります。
根管治療の予後は、歯冠修復によっても大きな影響を受けます。根管充填後は、バクテリアの感染を防ぐためなるべく早期に歯冠修復を行う必要があります。時間が経つと、バクテリアの感染が起こり根管治療の成功率が低下します。
また、歯冠修復の精密さも根管治療の予後を左右し、適合の悪い歯冠修復物を装着すると、根管治療の成功率は低下します。
根管治療を成功させるためには、なるべく早く精密に歯冠修復処置を行うことが重要です。

ファイバーコアとオールセラミッククラウンです。
精密な歯冠修復を行うことが、根管治療を成功に導きます。
抜髄の症例
Case1 歯がズキズキ痛む
診断と治療計画の立案
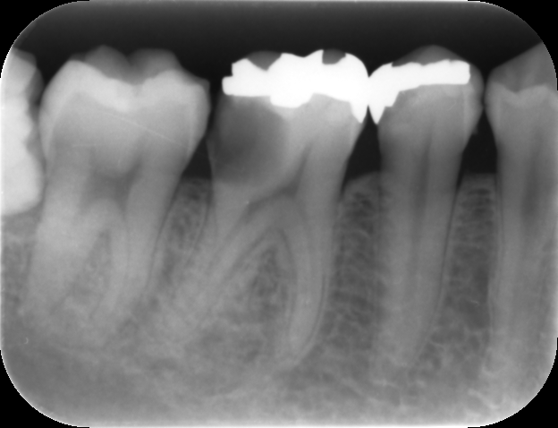
レントゲン写真では、歯間部に大きなコンポジットレジンが詰めてあり、ほぼ歯髄に達していました(下写真)。症状とレントゲン画像から、不可逆性の急性化膿性歯髄炎と診断し、抜髄を行う必要があると判断しました。
歯質の欠損が大きいため、根管充填後にファイバーコアで土台を補強し、クラウンにて歯冠修復を行うことにしました。

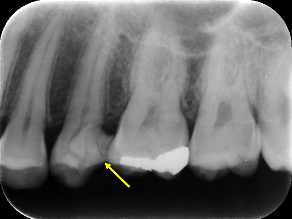
治療前のレントゲン画像です。
ほぼ歯髄に達するコンポジットレジン充填が施してあります(矢印)。
痛みが出ても何ら不思議な状態ではないです。
抜髄
局所麻酔をしっかりと行い、充填してあるコンポジットレジンと虫歯を完全に取り除きます。虫歯が深く歯質の欠損が大きいため、まず隔壁を作ります。唾液が歯の内部に侵入しないようにラバーダムを行い、無菌的な処置を行っていきます。
ファイルと呼ばれる治療器具で、炎症を起こした歯髄を根尖まで完全に取り除き、消毒薬で消毒・殺菌を図ります。術後は、症状に応じて鎮痛剤を処方し、患歯の安静を図ります。
根管充填
マイクロスコープで根管内部がきれいになっているかを確認し、術前にあった症状が消失したら、ペースト状のバイオセラミックシーラーとゴム状のガッタパーチャで歯根の先端まで緊密に根管充填を行っていきます。
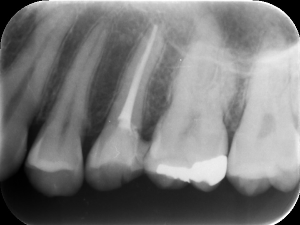
根管充填後レントゲン画像です。お薬が歯根の先端までしっかりと充填されているのが分かります。抜髄の場合、根尖部に細菌感染が及んでいないため、感染根管治療や再根管治療に比べて少ない治療回数で済むことが多いです。
歯冠修復
根管充填後、痛みや違和感が無いことを確認し、歯冠修復を行いました。
ファイバーコアで土台を補強してからオールセラミッククラウンを被せて、すべての治療が終了です。
予後確認
定期検診時、治療した部分に問題が無いかを確認します。必要に応じてレントゲンやCT撮影を行い、根管治療の予後確認を行います。
また、歯髄を失った歯は歯根破折を起こしやすいため、噛み合わせに問題が無いかも確認します。
抜髄根管治療6か月後のレントゲン画像です。
根尖部に病変は認めず、根管治療の予後に問題はありません。
オールセラミッククラウンの適合状態も非常に良好です。
主訴 |
他院で治療した左上の奥歯が、何もしない状態でズキズキ痛む |
|---|---|
年齢・性別 |
45歳 男性 |
治療期間 |
2ヶ月 |
治療費 |
精密根管治療 ファイバーコア テンポラリークラウン(仮歯) オールセラミッククラウン ※治療当時の金額です。 |
治療の |
根管治療において、一時的に痛みや歯茎の腫れを生じることがあります。強く湾曲したり狭窄した根管では、偶発症としてファイルの破折が生じる可能性があります。 |
-
Tooth de
虫歯治療
進行レベルごとの
適確な治療虫歯
-
Perio
歯周病治療
大切な歯を
抜かずに残す治療歯周病
-
Occlusion
噛み合わせ
それぞれの
正しい噛み合わせを噛み合わせ
-
Cleaning
予防歯科
細やかな
ブラッシング指導予防歯科
-
Denture
義歯
毎日の食事を
楽しく美味しく義歯
-
Orthodontic
矯正歯科
見た目もキレイに
健康な歯へ矯正歯科
-
Gallery
審美歯科
患者様の納得いく
仕上がりに審美歯科
-
Wisdom Tooth
親知らず
痛みに配慮した
親知らずの抜歯親知らず
-
End
精密根管治療
自分の歯を
抜かずに残す精密根管治療
-
Implant
インプラント
自然な噛み心地を
体感できるインプラント


