感染根管治療
細菌感染した歯を守る治療感染根管治療について
感染根管治療とは
大きな虫歯や外傷、矯正治療によって歯髄が壊死して腐敗し、歯の内部が感染した状態を感染根管と呼びます。つまり、感染根管治療とは、歯髄壊死した歯に対して行う根管治療のことを指します。虫歯を放置すると、冷温刺激でしみたり痛みを感じるようになりますが、虫歯が進行すると歯髄が壊死することで痛みが全く無くなります
さらに病態が進むと、根尖部に炎症を起こして化膿し、歯の激痛や咬合痛、歯茎の腫脹などを生じるようになります。また、外傷や矯正治療による歯髄壊死の場合には、歯には症状がまったく無く、歯の色の変色で歯髄壊死に気が付く場合もあります。抜髄と同様に初めて根管治療を行うケースであるため、成功率は90%程度と比較的高いです。
歯髄が壊死してからの経過が長いと、歯根嚢胞(のうほう)や歯根肉芽腫などの難治性の根尖病変を生じ、また根尖部の歯根吸収を起こし成功率が低下します。
したがって、歯髄壊死と診断された場合、速やかに根管治療を受けることが賢明です。
歯髄が生きているか死んでしまったかを調べる電気歯髄診断器です。歯髄壊死の診断に役立ちます。
感染根管治療が適応のケース

歯髄に達するような深い虫歯治療がされています。
歯髄はすでに壊死しており、自発痛や温熱痛は感じず、咬合時に違和感や痛みを感じます。放置すると根尖部が化膿して歯槽骨内に病変ができ、やがて激痛や歯茎の腫れを生じます。根管治療の成功率は90%程度と高いです。
感染根管治療の治療方法・手順
1. 麻酔
根管治療を行う際には、痛みを感じないように毎回麻酔を行って処置を行います。麻酔が痛くないようにしっかりと表面麻酔を行います。
炎症による痛みが強い場合は麻酔が効きにくいため、一旦抗生物質および鎮痛薬で炎症を抑えてから治療を行う場合もあります。
2. 虫歯や詰め物、
被せ物の除去および隔壁の作成
虫歯や歯に詰めたり被せてある修復物を完全に取り除きます。外傷の場合を除き、歯髄壊死になった歯の多くは虫歯が大きかったり、すでに大きな詰め物や被せ物がしてあることがほとんどです。
虫歯や詰め物、被せ物を取り除くと大きな穴になったり、歯が薄くなってしまいます。
このままでは歯にラバーダムを行えず、また消毒薬をしっかりと密閉しておくことが出来ません。このような場合には、コンポジットレジン(白いプラスチック樹脂)で歯の周囲に隔壁(かくへき)を作ります。
3. 根管の清掃・消毒
根管内の壊死して腐敗した歯髄組織を取り除き、歯根の先端まできれいに清掃していきます。根管内に薬剤を満たし、専用の超音波チップによる振動を与えることによって、目に見えない感染し腐敗した組織や切削粉まで完全に除去・洗浄します。
根管内の清掃が終わったら、消毒薬にて十分に殺菌・消毒します。
4. 根管充填
根管内がきれいになったら、隙間ができないように最終的な薬を歯根の先端まで緊密に充填します。
高い生体親和性や封鎖性、抗菌性、流動性を持つペースト状のバイオセラミックシーラーとガッタパーチャ(ゴム状の樹脂)を使用し根管充填を行っています。
5. 歯冠修復処置
歯髄を失った歯は、栄養供給がされないため枯れ木のように非常に脆くなっています。
したがって、臼歯部においては基本的にコア(土台)およびクラウン(被せ物)による補綴が必要です。
前歯に関しては、強い咬合力がかかりにくいので、コンポジットレジンによる充填でも大丈夫な場合もあります。歯冠修復の精密さは根管治療の予後を左右します。適合の悪い歯冠修復物を装着するとバクテリアが内部に侵入し、根管治療の成功率は低下します。根管治療を成功に導くためには、精密な歯冠修復を行うことがとても重要です。
感染根管治療の症例
Case1
歯がしみる・歯茎が腫れた
診断と治療計画の立案
歯冠部に大きなコンポジットレジン充填がしてあることから、虫歯治療後に歯髄壊死を起こし、根尖部が化膿して病変を生じたと考えられます。(下写真)
歯髄壊死・歯髄壊疽(えそ)から移行した急性化膿性根尖性歯周炎と診断し、感染根管治療後、精密に歯冠修復処置を行っていくことにしました。
まず、抗生物質と鎮痛剤の投薬を行い消炎を図ります。
| 治療前レントゲン | 治療前CT |
|---|---|
| 治療前レントゲン |
|---|
| 治療前CT |
|---|
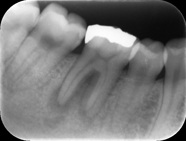
初診時レントゲンおよびCT画像です。根尖部には根尖病変と思われる黒いX線透過像を認めます(矢印)。
歯冠部には、歯髄に近接するレジン充填と思われる白いX線不透過像を認めます。深い虫歯治療後に歯髄壊死を生じたと推察されます。
感染根管治療
局所麻酔を十分に行った後、唾液が内部に侵入しないようにラバーダムを行い、歯の上から穴を開けて壊死した歯髄組織を取り除きます。
歯冠の崩壊が激しく、そのままではラバーダムが行えず歯内部をきちんと消毒・殺菌できない場合は隔壁を作成します。根管内をファイルと呼ばれる器具で徹底的に清掃し、消毒・殺菌をしていきます。症状により、根管内の洗浄・消毒は数回程度かかることがあります。
根管充填
痛みや歯茎の腫れなどが消失し、マイクロスコープにて根管内がきれいで膿や浸出液などが出ないことを確認したら、歯根の先端まで隙間なく緊密にお薬を詰めていきます。
お薬には、ゴム状のガッタパーチャと呼ばれる樹脂とペースト状のバイオセラミックシーラーを併用して充填します。(下写真)
根管充填後レントゲン画像です。症状が消失したため、ガッタパーチャとバイオセラミックシーラーにて根管充填を行いました。根尖部まで隙間なくピッタリとお薬が詰まっているのが分かります。
歯冠修復
根管充填後、痛みや違和感が無いことを確認します。問題が無ければファイバーコアで土台を補強し、クラウン(被せもの)で被せます。
根尖病変が大きい、或いは歯性上顎洞炎があるなどの場合は、仮歯の状態で3か月ほど経過を見てから歯冠修復をすることがあります。
予後確認
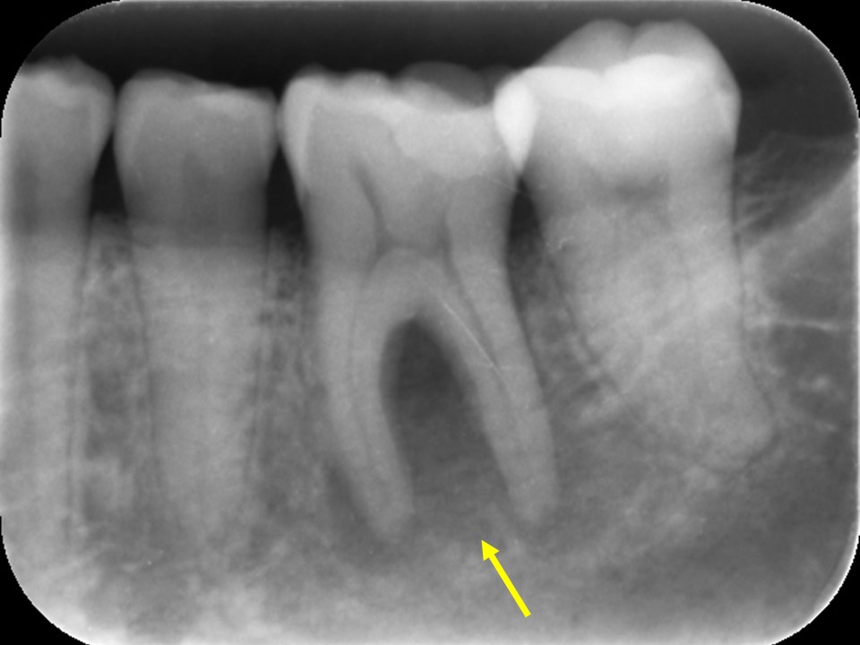
定期検診時、適宜レントゲンやCTにて根尖病変の治癒の程度を確認します。(下写真)
| 治療後レントゲン | 治療後CT |
|---|---|
| 治療後レントゲン |
|---|
| 治療後CT |
|---|
感染根管治療10か月後のレントゲンおよびCT画像です。
根尖病変は消失し、歯槽骨は完全な再生を認め治癒しています。
主訴 |
別の歯科で詰め物をしたあと歯がしみるような痛みが出たが、知覚過敏では?と言われた。 |
|---|---|
年齢・性別 |
51歳 女性 |
治療期間 |
2ヶ月 |
治療費 |
精密根管治療 ファイバーコア テンポラリークラウン(仮歯) ¥5,500 オールセラミッククラウン ¥132,000 ※治療当時の金額です。 |
治療の |
根管治療において、一時的に痛みや歯茎の腫れを生じることがあります。強く湾曲したり狭窄した根管では、偶発症としてファイルの破折が生じる可能性があります。根管治療を行っても治癒しない場合は、外科的歯内療法、意図的再植もしくは抜歯の適応になります。 |
-
Tooth de
虫歯治療
進行レベルごとの
適確な治療虫歯
-
Perio
歯周病治療
大切な歯を
抜かずに残す治療歯周病
-
Occlusion
噛み合わせ
それぞれの
正しい噛み合わせを噛み合わせ
-
Cleaning
予防歯科
細やかな
ブラッシング指導予防歯科
-
Denture
義歯
毎日の食事を
楽しく美味しく義歯
-
Orthodontic
矯正歯科
見た目もキレイに
健康な歯へ矯正歯科
-
Gallery
審美歯科
患者様の納得いく
仕上がりに審美歯科
-
Wisdom Tooth
親知らず
痛みに配慮した
親知らずの抜歯親知らず
-
End
精密根管治療
自分の歯を
抜かずに残す精密根管治療
-
Implant
インプラント
自然な噛み心地を
体感できるインプラント

