再根管治療
過去の根管治療の不具合を改善する治療再根管治療について
再根管治療とは
これまでに根管治療を受けた歯に対し、再び根管治療を行うことを指します。つまり、以前に受けた根管治療に不具合があり、根管治療のやり直しを行うことです。当院に根管治療希望で来院される方のほとんどがこのケースです。
病態により、歯に全く痛みの無いものから、夜眠れない程の激痛が生じるもの、強い咬合痛や頬部の腫脹を伴うもの、歯性上顎洞炎を併発するものなど、様々な症状を呈します。再根管治療は、すでに治療してある歯のやり直しであるため、治療の難易度は格段に上がります。
まず、すでに修復してある詰め物や被せ物、コア(土台)を外すところから始まり、根管内に詰めてある根管充填材を完全に取り除く必要があります。ケースによっては、歯の内部が大きく削られていたり、ファイルと呼ばれる治療器具が破折している、歯根にパーフォレーション(穿孔)と呼ばれる穴が開いてしまっている、根尖部(歯根の先端)が破壊されている、外せない材料が根管に充填されているなど、再治療を行う際には多くの障壁が存在します。
また、再根管治療が必要な歯は、根尖病変が難治性になっている場合(歯根嚢胞や歯根肉芽腫など)も多く、再根管治療の成功率は歯の状態によって統計上40~70%程度と幅があり、抜髄に比べ明らかに低くなります。
当院では、的確な診断と精密な治療により、統計よりも高い成功率を実現しています。
再根管治療が適応のケース①
一般的なもの

すでに根管治療を受けている歯で、根尖部に病変を生じています。強い自発痛や咬合時の疼痛、歯茎の腫れ(フィステル、サイナストラクト)などを生じることが多いです。統計上では、根管治療の成功率は70%程度とされます。
再根管治療が適応のケース②
根尖が破壊されているもの

すでに根管治療を受けている歯で、前医の治療で根尖部が破壊されていたり、根尖病変の影響で根尖部の歯根吸収を生じているようなケースです。根管治療の成功率は統計上40%ほどと低いです。
再根管治療が適応のケース③
根管が石灰化していて貫通しないもの

歯の痛みや歯茎の腫れなどの臨床症状があるものの、根管内部が石灰化しており、根管治療を行っても根尖部まで器具が入らず、根管充填が術前とあまり変わらないケースです。成功率は統計上60%程度とされます。
再根管治療が適応のケース④
ほとんど根管治療されていないもの

すでに抜髄してあるものの、ほとんど根管治療がされておらず、根尖病変および臨床症状の無いものです。再根管治療の成功率はほぼ100%と極めて高いです。
再根管治療の治療方法・手順
1. 麻酔
根管治療を行う際には、痛みを感じないように毎回麻酔を行って処置を行います。麻酔が痛くないようにしっかりと表面麻酔を行います。炎症による痛みが強い場合は麻酔が効きにくいため、一旦抗生物質および鎮痛薬で炎症を抑えてから治療を行う場合もあります。
2. 虫歯や詰め物、コア(土台)、
被せ物の除去および隔壁の作成
歯に詰めたり被せてある修復物および虫歯を完全に取り除きます。一度根管治療が施されている歯は、すでに大きな詰め物や被せ物がしてあり、詰め物や被せ物を取り除くと歯質がほとんど残っていません。特にコア(土台)が入っている場合は、歯質が薄いため、慎重に除去します。
このままでは歯にラバーダムを行えず、消毒薬をしっかりと密閉しておくことが出来ない場合は、コンポジットレジン(白いプラスチック樹脂)で歯の周囲に隔壁(かくへき)を作ります。
3. 根管の清掃・消毒
根管内に詰めてある古く汚れたガッタパーチャを丁寧に取り除き、歯根の先端まできれいに清掃していきます。根管内に薬剤を満たし、専用の超音波チップによる振動を与えることによって、目に見えない感染し腐敗した組織や切削粉まで完全に除去・洗浄します。根管内の清掃が終わったら、消毒薬にて十分に殺菌・消毒します。
再根管治療では、すでに詰めてあるガッタパーチャを取り除くのに時間がかかるため、抜髄や感染根管治療に比べ治療回数が多くなる傾向にあります。
4. 根管充填
根管内がきれいになったら、隙間ができないように最終的な薬を歯根の先端まで緊密に充填します。高い生体親和性や封鎖性、抗菌性、流動性を持つペースト状のバイオセラミックシーラーとガッタパーチャ(ゴム状の樹脂)を使用し根管充填を行っています。
根尖部が壊れていたり吸収している場合には、バイオセラミックセメント(MTA,RRM)だけで充填する場合もあります。
5. 歯冠修復処置
再根管治療を行う歯は、以前の治療ですでに多くの歯質を削ってあるため、基本的に歯がほとんど残っていません。したがって、臼歯部においては基本的にコア(土台)およびクラウン(被せ物)による補綴が必要です。
前歯に関しては、歯質が十分に残っていれば、コンポジットレジンによる充填でも大丈夫な場合もあります。歯冠修復の精密さは根管治療の予後を左右します。適合の悪い歯冠修復物を装着するとバクテリアが内部に侵入し、根管治療の成功率は低下します。根管治療を成功に導くためには、精密な歯冠修復を行うことがとても重要です。
再根管治療の症例
Case1
右下の奥歯に激しい痛みがある
診断と治療計画の立案
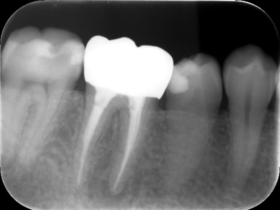
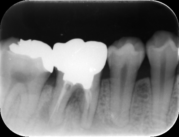
以前に行った根管治療が不十分であったためにバクテリアが繁殖し、根尖部が化膿して病変を生じている状態でした。(下写真)
急性化膿性根尖性歯周炎と診断し、再根管治療後、歯冠修復処置を行うことにしました。まず、抗生物質と鎮痛剤の投薬を行い消炎を図ります。
| 治療前レントゲン | 治療前CT |
|---|---|
| 治療前レントゲン |
|---|
| 治療前CT |
|---|
初診時レントゲンおよびCT画像です。すでに根管治療はされているが、根尖まで薬が入っておらず、根尖病変と思われる黒い透過像を認めます(矢印)
再根管治療
局所麻酔を十分に行った後、クラウンとコアを外し、完全に虫歯を取り除きます。歯冠の崩壊が激しく、そのままではラバーダムが行えず歯内部をきちんと消毒・殺菌できない場合は隔壁を作成します。
唾液が内部に侵入しないようにラバーダムを行い、すでに詰まっているガッタパーチャおよび腐敗物質を完全に取り除き、根管内を徹底的に消毒・殺菌していきます。症状により、根管内の洗浄・消毒は数回程度かかることがあります。
根管充填
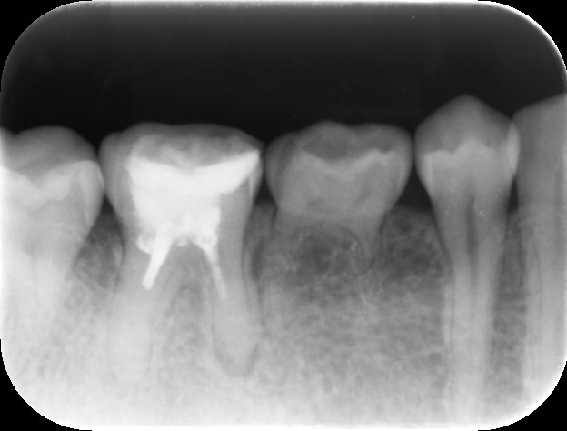
痛みや歯茎の腫れなどが消失し、マイクロスコープにて根管内がきれいで膿や浸出液などが出ないことを確認したら、歯根の先端まで隙間なく緊密にお薬を詰めていきます。
お薬には、ゴム状のガッタパーチャと呼ばれる樹脂とペースト状のバイオセラミックシーラーを併用して充填します。(下写真)
| 治療前レントゲン | 治療前CT |
|---|---|
| 治療前レントゲン |
|---|
| 治療前CT |
|---|
根管充填後レントゲンおよびCT画像です。
症状が消失したため、ガッタパーチャとバイオセラミックシーラーにて根管充填を行いました。炎症が強かったため、歯槽骨の吸収の範囲が術前よりも広がっています(矢印)。
歯冠修復
根管充填後、痛みや違和感が無いことを確認します。問題が無ければファイバーコアで土台を補強し、クラウン(被せもの)で被せます。
根尖病変が大きい、或いは歯性上顎洞炎があるなどの場合は、仮歯の状態で3か月ほど経過を見てから歯冠修復をすることがあります。
予後確認
定期検診時、適宜レントゲンやCTにて根尖病変の治癒の程度を確認します。(下写真)
| 治療前レントゲン | 治療前CT |
|---|---|
| 治療前レントゲン |
|---|
| 治療前CT |
|---|
再根管治療12か月後のレントゲンおよびCT画像です。根尖病変は消失し、歯槽骨は完全な再生を認め治癒しています。
主訴 |
以前別の歯科で治療した右下の奥歯に激痛がある。 |
|---|---|
年齢・性別 |
45歳 男性 |
治療期間 |
3か月 |
治療費 |
精密根管治療 |
治療の |
根管治療において、一時的に痛みや歯茎の腫れを生じることがあります。 |
-
Tooth de
虫歯治療
進行レベルごとの
適確な治療虫歯
-
Perio
歯周病治療
大切な歯を
抜かずに残す治療歯周病
-
Occlusion
噛み合わせ
それぞれの
正しい噛み合わせを噛み合わせ
-
Cleaning
予防歯科
細やかな
ブラッシング指導予防歯科
-
Denture
義歯
毎日の食事を
楽しく美味しく義歯
-
Orthodontic
矯正歯科
見た目もキレイに
健康な歯へ矯正歯科
-
Gallery
審美歯科
患者様の納得いく
仕上がりに審美歯科
-
Wisdom Tooth
親知らず
痛みに配慮した
親知らずの抜歯親知らず
-
End
精密根管治療
自分の歯を
抜かずに残す精密根管治療
-
Implant
インプラント
自然な噛み心地を
体感できるインプラント

