上顎前歯は、外傷で最も受傷頻度が多い部位です。
スポーツや転倒、事故により、顔面および前歯部を強打することで、上顎前歯の歯冠・歯根の破折や脱臼を生じるケースは非常に多いです。
歯の脱臼では、可能な限り早期に再植・固定をすることで歯の保存を図ります。しかしながら、完全脱臼(完全に抜け落ちてしまったもの)では将来歯根吸収を起こす可能性が極めて高いです。
亜脱臼(歯の位置異常、ずれ)では、歯根膜の血流が完全に途絶えないため、将来的な歯根吸収の可能性はあるものの、比較的良好に経過するものも少なくありません。
脱臼に対して、歯冠や歯根の破折の頻度はとても多いです。
スポーツ、転倒、事故以外にも、誤ってお箸やスプーンを噛む、お子さんの頭がぶつかった等、日常生活で受傷することもあります。
歯冠破折では、その受傷範囲によって治療法が異なります。
小さく欠けた程度であればコンポジットレジンを充填するだけで問題ないことが多いでしょう。審美的に問題を生じるようであれば補綴治療(ほてつ:被せること)を行うこともあります。
歯髄(神経)に達するものでは根管治療および補綴治療を行うことが一般的です。
一方、歯根破折の場合には、抜歯が必要になることが少なくありません。
歯根が歯槽骨の中で破折している場合、通常補綴治療を行うことは出来ません。
歯肉や歯槽骨などの歯周組織を健全に保つためには、3㎜程度健康な歯質が歯槽骨頂部よりも出ていなければならないためです。(専門的にはバイオロジック・ウィズ:生物学的幅径という。生物学的幅径は、約1㎜の上皮性付着、結合組織性付着、歯肉溝の合計3㎜で構成される)
生物学的幅径が確保されていない場合、歯や歯肉の痛みや違和感、咬合痛、歯肉の腫脹や出血などの炎症が生じます。
このため、歯根破折では歯の保存が困難になります。
しかしながら、そのような破折歯でも生物学的幅径を確保する方法が3つあります。
矯正的挺出、外科的挺出、歯冠長延長術です。
矯正的挺出は、矯正力で歯根を骨から引っ張り出す方法であるのに対し、外科的挺出は歯を脱臼させて骨から引き出す方法です。
外科的挺出に比べ矯正的挺出の方がマイルドで歯に優しく、歯根吸収のリスクがほとんどないため、可能であれば矯正的提出を図るのが一般的です。
ただし、条件によっては矯正的挺出を図ることが困難な場合もあります。
この場合は、次善の策として外科的提出を図ります。
歯冠延長術は、歯槽骨を削ることで生物学的幅径を確保する方法であり、術後に歯肉の退縮が必ず起こるため、主に臼歯部で行われます。審美性の要求される前歯部での適用には不向きであるでしょう。
初診時口腔内。転倒により左右の上顎中切歯2本を強打して歯冠歯根破折を生じ、近医にて応急処置を受けた。歯肉からの悪臭、疼痛および審美障害を訴え来院。前歯部の噛み合わせが深く(過蓋咬合)、下顎前歯はほとんど見えない。このようなケースでは、矯正装置を装着することが困難なため、矯正的挺出を行うことは難しい。
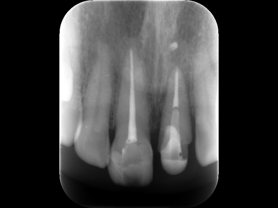
初診時レントゲンおよびCT画像。右側中切歯(向かって右)は歯髄に近接した白い充填物を認める。根管治療後、補綴治療を行うこととした。左側中切歯(向かって右)は歯槽骨にまで及ぶ歯根破折を認め(黄⇒)、通常であれば矯正的挺出あるいは抜歯のケース。過蓋咬合で矯正的挺出が行えない為、根管治療を行った上で外科的挺出を図り歯牙を保存することとした。
左側中切歯の根管治療時。根尖部まで緊密にしっかりと根管充填されている。
外科的挺出直後。歯根を約3㎜ほど外科的に歯槽骨から引き出した(黄⇒)。歯根が歯槽骨から脱臼されているため、歯根周囲は黒い隙間が確認できる(赤⇒)。歯の動揺が強いため、隣在歯と接着剤で固定を図る。
外科的挺出2か月後。歯槽骨の再生により、歯根周囲の黒いレントゲン透過像が消失している。歯の動揺も落ち着いた。
右側(向かって左)中切歯の根管治療後。外科的挺出を図った左側(向かって右)中切歯の歯根周囲に骨の再生を認める。歯根の吸収は認められない。
治療後口腔内。オールセラミッククラウンによる審美修復を行った。下顎前歯部はクラウディングが存在していたため、噛み合わせの改善を目的として部分矯正を行た。抜歯をせずに治療できたことは、患者さんにとって非常に有益であろう。
外傷歯を保存できるか否かは、歯や歯周組織、咬合等の条件に左右されます。
歯根が短い場合には、挺出して歯牙を保存することは出来ません。
外傷で歯を受傷したした場合には、なるべく早く歯科医院を受診し、治療方針を相談することをお勧めします。
治療費用:精密根管治療¥77,000/1歯
ファイバーコア¥22,000/1歯
オールセラミッククラウン¥132,000/1歯
部分矯正¥550,000
治療期間:11か月
治療上のリスク:外科的挺出は将来歯根吸収を起こすリスクがあります。

















