既に前歯を差し歯などで被せている方で、審美障害を気にしている方は非常に多いと思います。
差し歯は、材質によって変色しやすかったり、歯茎の色が黒くなったりします。
現在では、ほとんどのケースで金属を使わないメタルフリーの被せ物が主流になっており、以前よりも遥かにきれいに被せ物を入れることが出来るようになっています。
それでも、歯茎は年々痩せて下がっていきますし、自分の歯の色味も年齢とともに透明感を増して黄色みが強くなっていきます。
また、保険の被せ物の材質は、白い部分がレジンで出来ており、吸水性があるため年々色味が黄色味を帯びていきます。
このような場合には、セラミッククラウンでの被せ直しを行うことで、白く美しい歯を手に入れることが可能です。
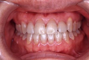
初診時口腔内。上顎前歯の差し歯の審美的改善を希望して来院。歯茎が痩せて差し歯と歯茎の境目が黒くなり、作り物であることがあからさまな状態。歯の色味もやや黄色味が強い。まずデュアルホワイトニングで自分の歯を白くし、その後差し歯を白くなった歯の色に合わせてオールセラミッククラウンでやり替えることにした。
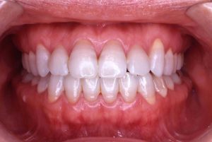
治療後口腔内。ホワイトニングで明るくなったトーンに合わせてオールセラミッククラウンを装着。自然で明るい口元になった。
前歯の治療のやり替えは、その人の表情まで変えてしまうほどの強いインパクトがあります。
ただ、治療をやり替える際に注意していただきたい点は、歯の中の治療、つまり根管治療がきちんとなされているかどうかを歯科医にきちんと診査・診断してもらうことです。
日常臨床でよくあることとして、歯はきれいに入っているものの、根管治療がきちんとなされていないために痛みや歯茎の腫れを生じ、せっかく入れた高価なクラウンをやり替えなければいけなくなるケースです。
これでは、費用が無駄になるばかりか、歯を失うことになりかねません。
治療前にしっかりと担当医とカウンセリングを行うことが、美しい歯を長く持たせるためにはとても重要と言えるでしょう。
治療費:オールセラミッククラウン/¥132,000/1歯
デュアルホワイトニング/¥55,000
治療期間:1か月
治療上のリスク:ホワイトニングは徐々に色の後戻りが起こります。セラミッククラウンは硬いものを噛むと欠けることがあります。
神田の歯医者 神田デンタルケアクリニック日付: 2025年12月14日 カテゴリ:コラム, ホワイトニング, 審美歯科































