差し歯と歯茎の境目が黒くなるブラックマージン。
特に、保険の差し歯は歯との適合が悪く、ブラックマージンになりやすいです。
ブラックマージンを改善するためには、基本的に差し歯をやり替える必要があります。
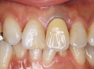
治療前。前歯の審美障害を主訴に来院。左上の前歯に保険の差し歯が入っているが、適合が悪く、歯と歯茎の境目が黒くなっている(ブラックマージン)。差し歯の色も自分の歯と全然合っていない。
治療後。根管治療を精密に行い、差し歯をオールセラミッククラウンにて被せなおした。歯に縞模様や白帯(バンディング)があり難しい色合いであったが、自然で調和のとれた仕上がりになっている。
歯の神経が無くなると、歯の色が黒くなったり、金属が入っているとイオン化して歯に変色が起こったりします。
歯そのものが変色していると、一度被せなおしても、歯茎が痩せると将来ブラックマージンが再発します。
また、金属の被せ物やコア(土台)の削りカスが歯茎に迷入すると金属イオンが沈着し、歯茎の色が黒くなることもあります。
このような場合には、差し歯をやり替えても、歯茎の黒ずみは治らないので、歯茎の切除や移植が必要になることもあります。
このようなトラブルにならないためにも、毎日のセルフケアと定期的な検診による虫歯予防は欠かせないのです。
神田の歯医者 神田デンタルケアクリニック日付: 2020年10月27日 カテゴリ:コラム, 審美歯科, 審美歯科








