上顎の前歯は外傷を受ける頻度が高い部位です。
転倒やスポーツ、交通事故などで前歯をぶつけるケースは少なくありません。
歯が外傷を受けると、歯の神経が失活して(死んでしまうこと)変色したり、破折や脱臼(歯の位置異常)をおこすことがあります。
わずかな歯の破折では、歯の研磨や、コンポジットレジン(プラスチック)を充填するだけで大丈夫なことが多いでしょう。
しかし、歯の神経が露出するほど大きく破折した場合には、補綴(ほてつ;歯を被せること)や抜歯が適応になることもあります。
骨の中の深いところで破折した場合には、歯を温存することが難しいですが、比較的浅いところで破折した場合には、部分矯正を利用して保存が可能です。
初診時。顔面にテニスラケットを強打し、上顎の前歯が骨縁下で破折。診査・診断により、歯の保存が可能と判断し、根管治療を行った。
歯根を歯槽骨の中から引っ張り出す(これをエクストルージョンという)ため、舌側に矯正装置を装着した。装置は表側からは一切見えない。1~2週間おきにゴムを交換し、徐々に歯根を引っ張り出していく。
エクストルージョンが済んだところで、歯根にコア(土台)と仮歯を装着。さらに、歯をより厳密に動かすためにブラケットを装着して部分矯正を行う。
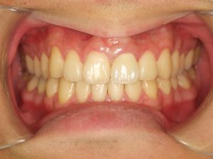
治療後。保定期間を経て、仮歯をセラミッククラウンで補綴し、審美性も回復した。歯を抜かずに治療できた価値は高い。
通常では保存が難しいと思われる歯であっても、状況によっては、さまざまな手法を使うことによって歯を抜かずに保存することも可能です。
もし、歯の抜歯宣告を受けた場合でも、セカンドオピニオンでは抜歯を回避できる提案を受けることができるかもしれません。
諦めずにそのような歯科医院を探す努力が必要です。
神田の歯医者 神田デンタルケアクリニック日付: 2020年8月15日 カテゴリ:口腔外科, 審美歯科, 矯正歯科






