歯を強く打つなどの外傷で、歯が変色を起こすことがしばしばあります。
これは、歯の内部にある歯髄(神経)が壊死してしまうために起こります。
歯髄壊死を放置しておくと、歯の変色だけでなく、歯根の先の骨が溶けて膿を持つようになるため注意が必要です。
このような場合、まずは歯の根管治療が必要になります。
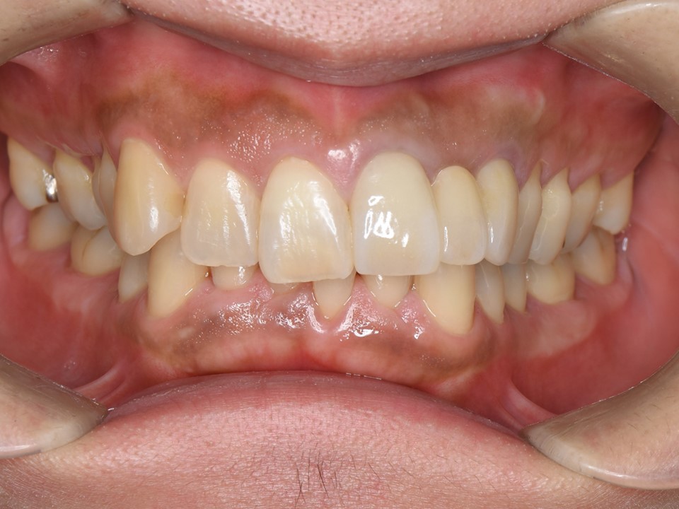
初診時。左側中切歯(矢印:向かって右)の変色を主訴に来院。外傷により歯冠の1/3が破折しており、コンポジットレジンにて修復がしてある。歯とコンポジットレジンの変色により、審美的な問題を起こしている。歯髄壊死が疑われた。
初診時レントゲン。左側中切歯の根尖部は小指頭大の黒いレントゲン透過像を認め、歯髄壊死と診断した。まずは感染根管治療を行うこととした。
ファイル試適。歯根の長さと方向を確認する。
根管内部を完全に清掃・消毒し、バイオセラミックシーラーにて根管充填を行った。根尖部までしっかりと薬が詰まっているのが分かる。
患者さんの希望により、根管治療終了後デュアルホワイトニングを行う。
デュアルホワイトニング後。オフィスホワイトニングとホームホワイトニングを合わせて行うことにより、それぞれの特性の良さが相まって、高い漂白効果が得らている。
治療後。左側中切歯をオールセラミッククラウンにて補綴(ほてつ)を行った。主訴である審美障害は改善され、白く輝く美し口元になった。
日本人は、欧米人に比べて歯の表層を覆っているエナメル質が薄く、内部構造であるやや褐色味がかった象牙質が透けて見えるため、歯の色味が少し黄色く見えます。
このため、前歯の治療を行う際に合わせてホワイトニングを希望される方は少なくありません。
治療にホワイトニングを取り入れることで、口元の審美性や清潔感は格段に向上し、お顔の表情まで明るく見え、笑顔にも自信が表れるようになります。
しかしながら、セラミックは色の経年変化が起こらないのに対し、ホワイトニングを行った自分の歯は経時的に色の後戻りを生じます。
このため、ホワイトニングとセラミック治療を合わせて行った場合は、定期的にホワイトニングを行っていかないと、セラミックだけが白く浮いてしまうようになります。
もし、継続的なホワイトニングのメンテナンスが面倒と感じるようでしたら、ホワイトニングは行わず、変色歯の治療だけを行う方が得策でしょう。
ご自身に合った治療法を選択することがとても重要です。
治療費:精密根管治療¥77,000(前歯)
ファイバーコア¥22,000
オールセラミッククラウン¥132,000
デュアルホワイトニング¥47,500
治療期間:2か月
治療におけるリスク:根管治療の治癒率は100%ではありません。セラミックの歯で硬いものを噛むと、稀に破折することがあります。ホワイトニングは色の後戻りを起こします。歯や歯周組織をより良い状態を保つためには、定期的なメンテナンスが必要です。
神田の歯医者 神田デンタルケアクリニック
日付: 2024年6月16日 カテゴリ:コラム, ホワイトニング, 審美歯科, 根管治療




































































