出っ歯のことを、歯列矯正では上顎前突と呼びます。
上顎前突は、下顎に歯列に対して上顎の歯列が前に出ている歯並び・歯列不正のことです。
上顎前突は、見た目の悪さが目立ちますが、それ以外にも口唇が閉じにくい、外傷を受けやすいなどのデメリットがあります。
上顎前突の矯正治療は、上の前歯を内側に入れるために、通常上顎の第一小臼歯(4番)を左右抜歯し、できた隙間に前歯を下げていきます。
噛み合わせにの状況によっては、下顎の小臼歯を2本抜歯することもあります。
これは、上下の歯の数が異なると、理想的な咬合関係を築くことが困難なためです。
しかしながら、抜歯を最小の本数にする方法として、上顎の小臼歯だけを抜歯する治療計画は一般的によく行われています。
治療前。上顎の前歯の突出の改善を主訴に来院。上顎前歯の前方への突出が著しい。また下顎の前歯が上顎の歯茎を噛んでおり、過蓋咬合(ディープバイト)を呈している。上顎前歯の後方移動と過蓋咬合の改善が必要な症例。臼歯部の上下の咬合関係は完全な2級咬合(下顎遠心咬合)であるため、上顎の左右の第一小臼歯だけを抜歯する計画とした。
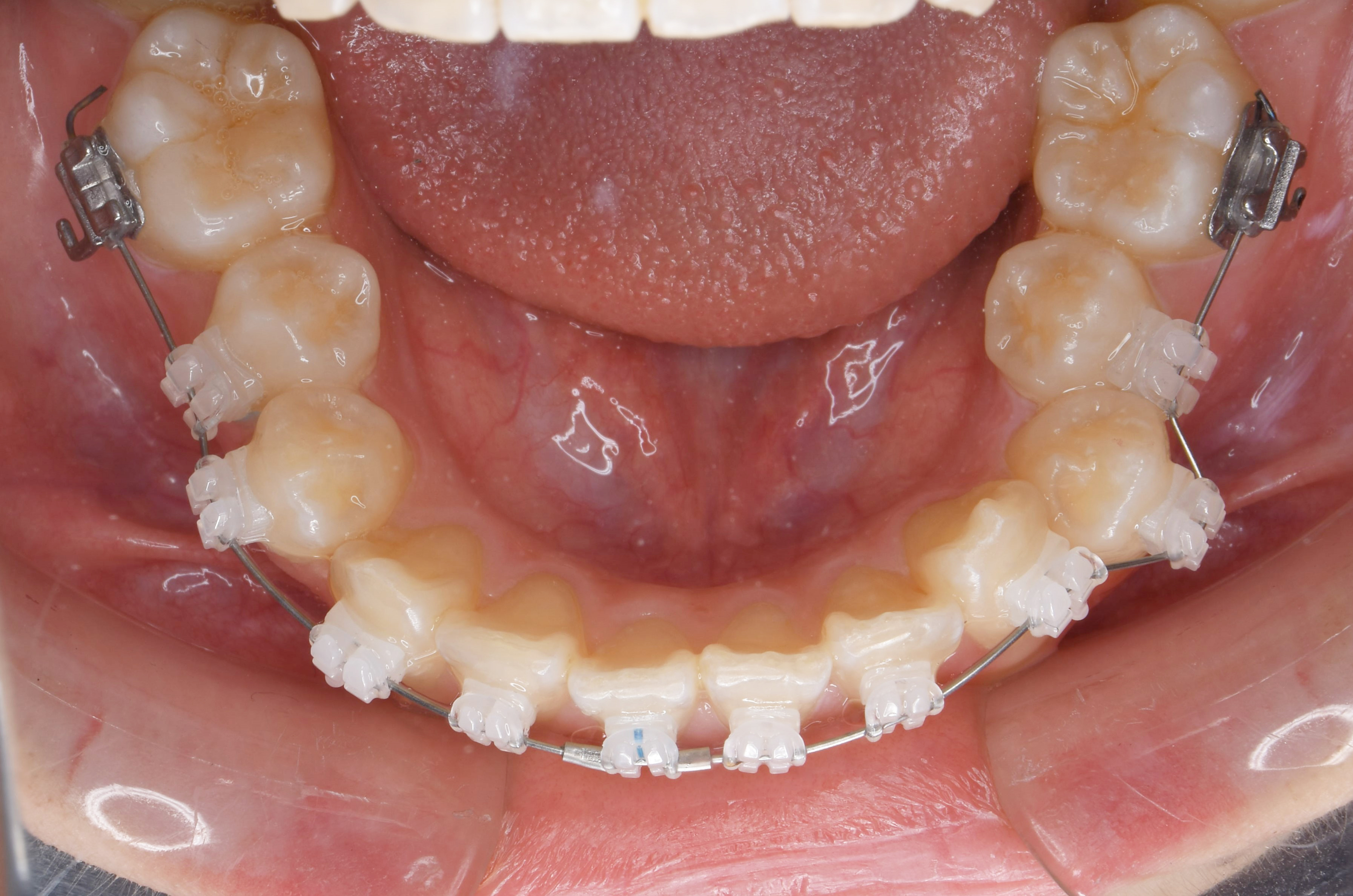
矯正治療後。上顎の小臼歯を抜歯したスペースを利用することで、上顎前歯が内側にきれいに並んでいることが分かる。過蓋咬合も改善し、個性正常咬合を確立した。上下の歯の数が異なる変則抜歯のケースでは、抜歯本数を最少に出来るものの、下顎第二大臼歯(一番奥の歯)は噛み合わせにあまり参加できない欠点もある。治療計画は、総合的に最善な結果が得られるよう立案し提案することが重要。
治療期間:1年2か月
治療費用:¥960,000
治療のリスク:矯正治療は歯肉退縮や歯根吸収を起こすことがあります。また、治療後は保定を適切に行わないと、後戻りを起こすことがあります。
神田の歯医者 神田デンタルケアクリニック
日付: 2022年5月22日 カテゴリ:コラム, 矯正歯科





































































































































































